Decompressive craniectomy (DC) is a surgical method for managing highly elevated intracranial increased pressure (ICP) resulted from severe head trauma. This procedure is able to reduce the ICP rapidly and effectively. However, it may lead to kinds of secondary complications, which would cause patient's severe neurological dysfunction or even death. In this paper, we reviewed the literatures about surgical complications secondary to DC, and tried to bring up suggestions on surgical techniques aiming to prevention and treatment of these complications.
1 Introduction
Decompressive craniectomy (DC),which is performed world-widely for the treatment of severe traumatic brain injury (TBI),is a surgical procedure in which part of the skull is removed to allow the brain to swell aiming to decrease the elevated intracranial pressure (ICP). Although there is still controversy about the efficacy of the procedure in improving patients’ outcomes,it is widely used in those patients with uncontrollable elevated ICP. Technically DC is considered as a simple and safe procedure,but kinds of complications secondary to this procedure may play an adverse role in the patients’ outcome. And several studies on DC found that the incidences of these complications may be higher than those secondary to regular craniotomy[1, 2, 3]. So,for neurosurgeons managing TBI patients,the complications secondary to DC should be paid much attention to.
Different methods of DC have been developed for decompression of brain at risk for the sequelae of traumatically elevated ICP. Those include subtemporal decompression,circular decompression,fronto- or temporo-parietal decompressive craniectomy,large fronto-temporo-parietal decompressive craniectomy, hemisphere craniectomy,and bifrontal decompressive craniectomy[4]. At present,DCs for refractory intracranial hypertension performed as a standard trauma craniotomy (large fronto-temporo-parietal decompressive,12 cm × 15 cm cranial bone flap) for lesions confined to one cerebral hemisphere and a bilateral frontal craniectomy from the floor of anterior cranial fossa to the coronal suture for diffuse brain swelling were widely accepted[5, 6]. Munch et al.[7] found that large fronto-temporoparietal craniectomy could provide as much as 92.6 cm3 additional space (median,73.6 cm3). Large DCs seemed to reach better outcomes in patients with severe TBI compared with other varieties of surgical decompression in previous literatures. The most direct evidence was provided by Jiang et al.[1] A prospective,randomized,multi-center trial suggested that large fronto-temporoparietal decompressive craniectomy (standard trauma craniectomy) significantly improved the outcome in severe TBI patients with refractory intracranial hypertension, compared with routine temporoparietal craniectomy, and had a better effect in terms of decreasing ICP. The large DC is able to reduce the elevated ICP effectively and rapidly,but the large cranial defect after DC also would let the brain beneath the skin flap be short of protection and lead to kinds of complications. The most frequent complications include brain herniation through the craniectomy defect, postoperative intracranial hemorrhage,subdural effusions (subdural hydroma),hydrocephalus and trephined syndrome[2, 3].
Jiang et al. reported a series of patients undergoing DC for head trauma,and among them the incidence of brain herniation through the craniectomy defect was 16.6%,the incidence of postoperative intracranial hemorrhage was 11.1%[1]. We have analyzed 108 patients who had DC for severe head trauma,the incidence of brain herniation through the craniectomy defect,postoperative intracranial hemorrhage,subdural effusions (subdural hydroma) and hydrocephalus was 27.8%,7%,21.3% and 9.7%[2] respectively. Moreover, in some studies,one certain complication had a quite high incidence. Aarabi reported half of the patients developed subdural effusions after DC among 50 patients[5],and in our study,52.9% of patients had trephined syndrome[2]. Such high and variable incidences may be resulted from different diagnostic criteria,but it still can be implied that the complications secondary to DC were not rare.
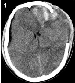
2 Complications secondary to DC 2.1 Brain herniation through the craniectomy defectThis complication may have several different diagnostic criteria. In our study,we defined it as the herniated brain tissue more than 1.5 cm above the plane of the cranial defect[2]. Brain herniation through the craniectomy defect is much more frequent when a limited surgical decompression was performed (Figure 1),such as circular compression and subtemporal compression[4]. By removing part of the skull,DC tries to prevent herniation and to reconstruct cerebral blood perfusion to improve patients’ outcomes. The decompressive effect of this surgical procedure depends primarily on the size of the part of the skull removed. The small decompression has limited effect on reducing ICP,and the swelling brain tissue has a high possibility of herniation through the craniectomy defect. The most direct proof was provided by Jiang et al.: a prospective, randomized,multi-center trial suggested that large fronto-temporoparietal decompressive craniectomy (standard trauma craniectomy) had a lower incidence of brain herniation through the craniectomy defect comparing with normal craniotomy (16.6% comparing with 18.3%)[1].
|
| Figure 1 The CT image showing the brain herniation through the cranial defect, and there is intracerabral haemotoma on the edge of cranial defect. |
The large surgical decompression is the key to prevent brain herniation through cranial defect. However,for some patients with diffuse brain swelling,the large decompression still can not reduce the elevated ICP to a normal level. Then other methods for controlling ICP should be considered. Besides,diffuse brain swelling which is occurring in the operation may be caused by the acute intracranial haemotoma. In this condition,a second surgical removal of haemotoma is necessary.
To prevent the compression of the brain tissue via the craniectomy defect,Coskay et al. introduced an interesting method called the “vascular tunnel” to avoid this complication[8, 9]. After removal of part of the skull,they performed dural incisions in a stellate fashion. The entrance points of major vessels are close to the midpoint between the angles of the dural opening. The most significant step involves constructing small supporting pillars made of hemostastic sponge on the bilateral sides of the vessels as they pass the edge of the dural window,and then the superficial vessels supporting the portion of brain run in the artificial “vascular tunnel” between the brain tissue and dura[8]. At last,the dura was closed as in augmentation duraplasty.
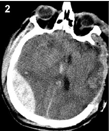
2.2 Postoperative intracranial hemorrhagePostoperative intracranial hemorrhage is a frequent complications secondary to neurosurgical operation (Figure 2),and its incidence is among 1.1% and 6.9%[10]. However,it seems that postoperative intracranial hemorrhage is more frequent in head trauma patients, especially for those who underwent DC. Bullock et al. reported their study about neurosurgical procedures in head trauma patients,and the postoperative intracranial hemorrhage occurred in 6.9% of the total patients[11]. In our study,this complication occurred in 8 cases of total 108 patients who underwent DC for severe TBI (the incidence was 7.4%)[2],and comparing to other neurosurgical operations,the haematomas contralateral to the operative side were more frequent. Besides,intracranial haematoma contralateral to the decompressive side should be mentioned. We have reported fifteen cases complicated with contralateral intracranial haematoma after large DC among patients with severe head trauma[12]. Decompressive surgery releases a tamponade effect of the initial hemorrhage on the contralateral source,which may contribute to the formation of contralateral intracranial haemotoma[12]. In further,the existence of contralateral abnormal signs in the CT scan before the DC,especially cranial fracture and haemotama,would increase the risk of occurrence of postoperative intracranial re-hemorrhage. So these risk factors should be noticed for any patient who is about to undergo DC. Besides,coagulopathy following TBI has a high incidence ranging from 10% to 87.5%,especially among the patients with severe TBI[13]. And a coagulopathy may be responsible for the postoperative intracranial hemorrhage as well.
|
| Figure 2 The extradural haemotoma contralateral to the decompressive hemisphere can be seen from the CT, and this haemotoma has mass effects and causes a dramatic midline shift |
Most of postoperative intracranial hemorrhage happens within the first 24 hours,even 6 hours,after surgical procedure[14]. In our institute,routine CT scan during the first 12 hours after surgical procedure is performed for all of the patients who underwent craniotomy. The ICP monitoring is able to help discover the postoperative intracranial hemorrhage at the early stage either. Though the postoperative intracranial hemorrhage after DC is disastrous,the early discovering and surgical removal are the key to save patients’ lives and neurological functions.
2.3 Subdural effusionSubdural effusion is another frequent complication secondary to DC (Figure 3),and also is a frequent complication after head trauma. Kinds of factors may lead to subdural effusion after DC. The large cranial defect after DC would form a pressure gradient between the two hemispheres and lead to the enlargement of ipisilateral subdural space as well as the accumulation of effusion,especially when initially there is a possible rupture in arachoid layer after head trauma[15]. Besides, the disturbance of cerebrospinal fluid (CSF) circulation after head trauma,especially the absticle of CSF out flow,would increase the risk of accumulation of the effusion through the torn portion of arachoid layer[15].
|
| Figure 3 The subdural effusion contralateral to the decompressive hemisphere can be seen from the CT, and it has mass effects and causes the compression of lateral ventricle. |
Most of subdural effusions are without clinical presentations,and would auto-resolve gradually. However,there are still a part of subdural effusions leading to neurological dysfunction. We have reported 11 cases developing subdural effusion after DC[15]. The surgical treatment was performed in 4 patients. Because the existence of a rupture in the arachoid layer,the subdural effusion probably is interlinked with subarachoid space. So the simple burr-hole operation may be not effective. To our experiences, usually the shunt implantation is necessary. Besides, when performing DC,the dura should be closed to decrease the disorder of CSF circulation,which may be helpful for preventing the occurrence of subdural effusion and hydrocephalus.
The subdural effusion contralateral to decompressive side is a unique complication secondary to DC. This disease tends to develop gradually and finally present mass effect,which needs surgical treatment at last. After the peak time of cerebral edema,to bandage the cranium may help prevent brain shift and cephalocele, which would be helpful for the prevention of subdural effusion. Besides,an early cranioplasty may be helpful for the prevention of this disease either. And for a part of patients,the contralateral subdural effusion may auto-resolve after cranioplasty.
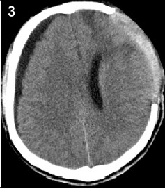
2.4 HydrocephalusPosttraumatic hydrocephalus (PTH) has a high incidence among patients with severe head trauma (Figure 4). Most PTHs are communicated hydrocephalus, which resulted from the disorder of CSF circulation. Commonly,the PTH is considered as a DC complication when it accomplishes the following conditions: onset within 6 months after head trauma, dilation of ventricles not caused by brain atrophy according to CT scan and neurological deterioration or lack of improvement is observed[16]. In Choi’s study, the PTH had an incidence of 4% among 693 patients following head trauma,but in the same series there was a quite high incidence of 23.6% among 55 patients who underwent DC[17]. We also reported a high incidence of PTH (29.4%) among 108 patients,and in our study,and PTH is also the most frequent complication during the first month following DC[2]. At present a number of studies suggested that DC probably aggravates such CSF circulation dysfunction, and increases the inscidence PTH.
|
| Figure 4 A typical CT image of PTH in which the lateral and third ventricles are dilated is showed. |
The diagnosis of PTH is simple,but neurosurgeons should pay attention to this disease to avoid the delayed diagnosis. When patients who underwent DC for TBI keep unconscious or deteriorated after recovering from a neurological dysfunction,the possibility of PTH should be concerned. Besides,the high pressure of scalp of the cranial defect after the acute phase also would disclose the clue of PTH. As mentioned above,the dura closure may decrease the disorder of CSF circulation after DC,which may be helpful for preventing the occurrence of subdural effusion and hydrocephalus.
Ventricle-peritoneal (VP) shunt implantation is the most important and frequent surgical method to rectify PTH. However,only a part of patients can be benefitted from this procedure. In one study,we reviewed 31 patients who had a normal-pressure PTH after severe head trauma[18]. Only 20 patients had clinical improvement in the 12 months follow-up. In another prospective study involving 14 patients,7 patients had improvement on GOS or Modified Barthel Index (MBI) score during the 2-year follow-up,but only 1 patient achieved a good outcome (GOS score 4, independent life). So we suggest that before VP shunt the test aiming to predict the effect of this procedure is necessary. And in our institute,the procedure of the lumbar cistern CSF drainage would be performed before VP shunt for the prediction.
2.5 Trephined syndromeA group of symptoms including headaches,dizziness, irritability,epilepsy,discomfort,and psychiatric disturbance after surgical decompression have been reported to be related to large cranial defects,which are named as “syndrome of the trephined” or “sinking skin flap syndrome” and are well known to the neurosurgeons[19]. After the acute stage of TBI,with the reduction of ICP,the skin scalp above a huge bone defect would sink as a result of lack of bone support, and this sinking would reduce the subarachnoid space and press the cortex beneath,leading to the turbulence of CSF circulation and cortical blood perfusion[2]. This disease is one of the most frequent secondary complications one month post DC. The only method to rectify these changes is the indication of cranioplasty. And most of these symptoms would recover after it.
Commonly the cranioplasty is suggested to be performed at least 3 months after DC,aiming to decrease the incidence of surgical site infection. However,the large cranial defect may cause kinds of histopathological changes. The delayed correction may lead to irreversible changes. More and more studies have proved the advantages and the safety of an early cranioplasty after DC[20]. We also have reported that the cranioplasty was able to increase the cerebral blood perfusion[21]. And now the early cranioplasty during the first 2 to 3 months post DC has been performed in lots of institute.
3 ConclusionsIn conclusion,though DC is an effective method for controlling the highly elevated ICP after severe TBI, the complications secondary to this surgical procedure should be noticed by neurosurgeons. Except the secondary complications mentioned in this article, there are still other diseases which may caused by surgical decompression,such as CSF leakage and surgical site infection. Some technical principles and details for prevention of these complications should be considered when this procedure is performed.
Conflicts of interestThe authors have no financial interests to disclose regarding the article.
| [1] | Jiang JY, Xu W, Li WP, Xu WH, Zhang J, Bao YH, Ying YH, Luo QZ. Efficacy of standard trauma craniectomy for refractory intracranial hypertension with severe traumatic brain injury: A multicenter, prospective, randomized controlled study. J Neurotrauma 2005, 22: 623-628. |
| Click to display the text | |
| [2] | Yang XF, Wen L, Shen F, Li G, Lou R, Liu WG, Zhan RY. Surgical complications secondary to decompressive craniectomy in patients with a head injury: A series of 108 consecutive cases. Acta Neurochir (Wien) 2008, 150(12): 1241-1248. |
| Click to display the text | |
| [3] | Stiver SI. Complications of decompressive craniectomy for traumatic brain injury. Neurosurg Focus 2009, 26(6): E7. |
| Click to display the text | |
| [4] | Huang X, Wen L. Technical considerations in decompressive craniectomy in the treatment of traumatic brain injury. Int J Med Sci 2010, 7(6): 385-390. |
| Click to display the text | |
| [5] | Aarabi B, Hesdorffer DC, Ahn ES, Aresco C, Scalea TM, Eisenberg HM. Outcome following decompressive craniectomy for malignant swelling due to severe head injury. J Neurosurg 2006, 104(4): 469-479. |
| Click to display the text | |
| [6] | Guerra WKW, Gaab MR, Dietz H, Mueller JU, Piek J, Fritsch MJ. Surgical decompression for traumatic brain swelling: Indications and results. J Neurosurg 1999, 90(2): 187-196. |
| Click to display the text | |
| [7] | Münch E, Horn P, Schürer L, Piepgras A, Paul T, Schmiedek P. Management of severe traumatic brain injury by decompressive craniectomy. Neurosurgery 2000, 47(2): 315-322. |
| Click to display the text | |
| [8] | Csókay A, Nagy L, Novoth B. Avoidance of vascular compression in decompressive surgery for brain edema caused by trauma and tumor ablation. Neurosurg Rev 2001, 24(4-6): 209-213. |
| Click to display the text | |
| [9] | Csókay A, Együd L, Nagy L, Pataki G. Vascular tunnel creation to improve the efficacy of decompressive craniotomy in post-traumatic cerebral edema and ischemic stroke. Surg Neuro 2002, 57(2): 126-129. |
| Click to display the text | |
| [10] | Seifman MA, Lewis PM, Rosenfeld JV, Hwang PYK. Postoperative intracranial haemorrhage: A review. Neurosurg Rev 2011, 34(4): 393-407. |
| Click to display the text | |
| [11] | Bullock R, Hanemann CO, Murray L, Teasdale GM. Recurrent hematomas following craniotomy for traumatic intracranial mass. J Neurosurg 1990, 72(1): 9-14. |
| Click to display the text | |
| [12] | Wen L, Li QC, Wang SC, Lin Y, Li G, Gong JB, Wang F, Su L, Zhan RY, Yang XF. Contralateral haematoma secondary to decompressive craniectomy performed for severe head trauma: A descriptive study of 15 cases. Brain Inj 2013, 27(3): 286-292. |
| Click to display the text | |
| [13] | Harhangi BS, Kompanje EJ, Leebeek FWG, Maas AIR. Coagulation disorders after traumatic brain injury. Acta Neurochir (Wien) 2008, 150(2): 165-175. |
| Click to display the text | |
| [14] | Taylor WAS, Thomas NWM, Wellings JA, Bell BA. Timing of postoperative intracranial hematoma development and implications for the best use of neurosurgical intensive care. J Neurosurg 1995, 82(1): 48-50. |
| Click to display the text | |
| [15] | Yang XF, Wen L, Li G, Zhan RY, Ma L, Liu WG. Contralateral subdural effusion secondary to decompressive craniectomy performed in patients with severe traumatic brain injury: Incidence, clinical presentations, treatment and outcome. Med Princ Pract 2009, 18(1): 16-20. |
| Click to display the text | |
| [16] | Miki T, Nakajima N, Wada J, Haraoka J. Cause of posttraumatic hydrocephalus because of traumatic aqueduct obstruction in two cases. J Trauma 2006, 61(4): 985-989. |
| Click to display the text | |
| [17] | Choi I, Park HK, Chang JC, Cho SJ, Choi SK, Byun BJ. Clinical factors for the development of posttraumatic hydrocephalus after decompressive craniectomy. J Korean Neurosurg Soc 2008, 43(5): 227-231. |
| Click to display the text | |
| [18] | Wen L, Wan S, Zhan RY, Li G, Gong JB, Liu WG, Yang XF. Shunt implantation in a special sub-group of post-traumatic hydrocephalus--patients have normal intracranial pressure without clinical representations of hydrocephalus. Brain Inj 2009, 23(1): 61-64. |
| Click to display the text | |
| [19] | Isago T, Nozaki M, Kikuchi Y, Honda T, Nakazawa H. Sinking skin flap syndrome: A case of improved cerebral blood flow after cranioplasty. Ann Plast Surg 2004, 53(3): 288-292. |
| Click to display the text | |
| [20] | Wen L, Yang XF, Liu WG, Shen G, Zheng XS, Cao F, Li G. Cranioplasty of large cranial defect at an early stage after decompressive craniectomy performed for severe head trauma. J Craniofac Surg 2007, 18(3): 526-32. |
| Click to display the text | |
| [21] | Wen L, Lou HY, Xu J, Wang H, Huang X, Gong JB, Xiong B, Yang XF. The impact of cranioplasty on cerebral blood perfusion in patients treated with decompressive craniectomy for severe traumatic brain injury. Brain Inj 2015, 29(13-14): 1654-1660. |
| Click to display the text |


