2. Department of Neural Reconstruction, Beijing Neurosurgery Institute, Capital Medical University, Beijing 100050, China
Fibrous dysplasia (FD), with an incidence of 1:4000-1:10, 000, is an unusual developmental abnormality of the skeleton. Four clinical conditions of FD have been reported to date[1]: monostotic, polyostotic, McCune-Albright syndrome (MAS), and Mazabraud’s syndrome. The monostotic form occurs most frequently and represents approximately 75% of FD cases. MAS, accounting for about 3% of polyostotic FD, is char-acterized by polyostotic FD, café-au-lait cutaneous spots, and various endocrinopathies[2]. Mazabraud’s syndrome is a clinical type characterized by soft tissue mass (intramuscular myxoma) concomitant to polyostotic FD[3].
The involvement of facial and cranial bones in FD, also termed craniofacial fibrous dysplasia (CFD), occurs in nearly 50% of polyostotic FD and in 10%-27% of monostotic FD cases[4]. Depending on the type and location of CFD, the signs and symptoms vary and include facial deformity and asymmetry, vision changes, hearing impairment, nasal congestion and/or obstruc-tion, pain, paresthesia, and malocclusion[5]. We present the first case of post-traumatic cerebrospinal fluid (CSF) rhinorrhea associated with CFD.
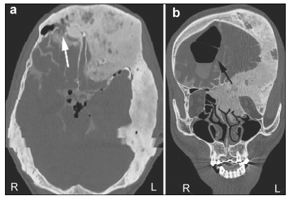
2 Case study 2.1 History and examinationA 30-year-old man presented with a 20-day history of clear discharge from his right nostril. He suffered from a mild head trauma 40 days before counseling at our institution. Laboratory tests of the discharge showed a glucose level of 3.73 mmol/L. This high glucose level suggested that the discharge was CSF. Physical examination showed that the patient’s left eye and left frontal part were more prominent than the equivalent right side. According to the patient’s recall, these symptoms first appeared at the age of twenty and had changed slowly since then. Computed tomography (CT) cisternogram located the site of the defect in the posterior wall of the right frontal sinus and demonstrated the evident expansion of multiple skull bones (Figure 1). Lumbar puncture was done and intracranial pressure was 150 mm H2O.
|
| Figure 1 (a, b) A computed tomography (CT) scan demonstrating the expansion of multiple skull bones. The involved bones present with various appearances of mixed radio-dense/radio-lucent lesions, which can be described as “ground-glass”, “lytic”, and “cystic”. Left: Axial CT cisternography demonstrates a fistula at the posterior wall of the right frontal sinus (white arrow). The density of both frontal involved bones is slightly lower than for other skull bones. Right: A coronal CT scan demonstrates pneumocephalus in the right frontal lobe (black arrow). |
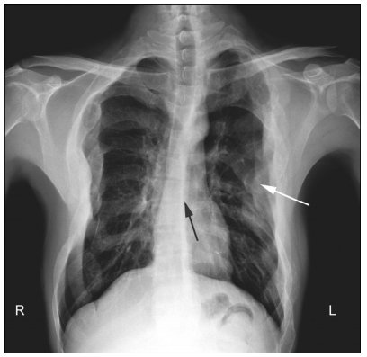
Preoperative routine X-ray chest analysis demon-strated evident scoliosis and multiple local enlarge-ments of the ribs (Figure 2). Because of a lack of any symptoms of the limbs and cavitas pelvis, X-ray analysis of these regions was not performed. No café-au-lait cutaneous spots were found on the patient. The patient did not have any symptoms related to endocrine abnormalities. Levels of related serum hormones were not tested. Without café-au-lait cuta-neous spots and endocrine abnormalities, polyostotic FD was diagnosed instead of MAS.
|
| Figure 2 X-ray chest analysis demonstrating scoliosis (black arrow) and multiple local enlargements of the ribs (white arrow). |
The patient underwent craniotomy fistula repair sur-gery. A coronal incision was made and a pericranium flap was prepared for cranial base repair. The bone window was 7 cm × 15 cm. We explored the entire anterior cranial base and located the fistula to the posterior wall of the right frontal sinus as demonstrated by the preoperative CT cisternogram. The pericranium was folded to cover the defect and then sutured to the cranial base dura. The bone flap was repositioned and fixed using standard techniques. To increase the cranial cavity and decrease the intracranial pressure, the excised bone flap was contoured to be thinner before it was placed back (Figure 3). As the patient’s sight was good in both eyes, optic nerve decompression was not performed although the left optic nerve was evidently compressed by expanded bones (Figure 1).
|
| Figure 3 A CT scan demonstrating a contoured bone and enlarged cranial cavity. (a, b) Before the fistula repair surgery. (c, d) After the fistula repair surgery. |
CSF rhinorrhea stopped after the surgery. Twelve days after the fistula repair surgery, enhanced magnetic resonance imaging (MRI) was performed to evaluate the effect of the operation and to obtain more infor-mation about the FD lesions (Figure 4). A nineteen-month follow up was made. The patient recovered well and CSF leakage did not recur. However, the sight of the patient’s left eye had decreased during the last month. A repeat CT scan was performed, which showed that the compression of the left optic nerve seemed to be more severe than nineteen months ago (Figure 5). MAS was suspected. Decompression sur-gery of the left optic nerve canal and laboratory tests of serum hormones were proposed, but the patient refused them. No other new neurological deficits appeared during the follow-up period.
|
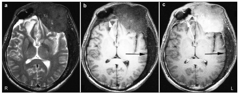
| Figure 4 Axial MRI demonstrating abnormal thickening of the bones in a patient with FD. (a) T2-weighted images show the involved skull bones are hypointense. (b, c) T1-weighted images show the involved skull bones are hypointense (b) with varying enhancement (c). Left frontal bone and the wall of the right frontal sinus showed evident enhancement (white arrows) while the left posterior skull bones did not (black arrows). |
|
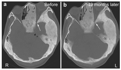
| Figure 5 (a, b) CT showing the left optic canal before and nineteen months after surgery (arrows). The compression of the left optic nerve was more severe at nineteen months after surgery (right) than before surgery (left). |
FD represents about 2.5% of all primary bone masses and 7% of benign bone masses[6]. Three main histological types have been identified in FD: the “Chinese letters” model, the “pagetoid” model, and the “hypercellular” model. Each of these is differentiated on the basis of the architecture and cellularity of the osseous tissue[7]. CT is recommended to define the anatomy of individual lesions and to establish the extent of disease in CFD[5, 8]. The natural radiographic progression may vary from a “ground-glass” or homogenous appearance to a mixed radio-dense/ radio-lucent lesion as the patient ages. The radiographic density of the lesions depends on the proportion of fibrous and osseous elements[7]. MRI is a complemen-tary method to CT, and it is used to examine cranial nerve involvement and obtain more information about the lesion[9]. The signal intensities of FD are usually low on T1-weighted images, but often variable on T2-weighted images, ranging from low-to-high signals[10]. Enhanced MRI often indicates the involved bones contain numerous small vessels and fibrous elements[3].
There were two factors associated with CFD that together might have contributed to the CSF rhinorrhea risk increase in this particular patient.
The first was pathological changes in the skull bone. FD is characterized by the excessive formation of fibrous tissue in the bone marrow and the destruction of normal bone in conjunction with abnormal bone formation and increased osteoclast activity[11]. Normal bone tissue is replaced by the gradual abnormal pro-liferation of fibrous tissue[9]. These pathological changes weaken the structural integrity of the involved bones[12]. Under slight stress, these bones tend to deform and might even fracture[13]. As the limbs, especially both lower limbs, usually bear most of the mechanical stress during daily life, pathologic fractures often occur in these bones with FD. Without significant stress, skull bones with FD rarely fracture. However, when a CFD patient suffers from head trauma, these skull bones might fracture more easily than normal bones. In our patient, CFD was involved in multiple skull bones, including the right frontal bone. A CT scan indicated a low density of the involved right frontal bone (Figure 1), and enhanced MRI showed evident enhan-cement of the right frontal sinus wall (Figure 4). This suggested that the bone in right frontal sinus wall contained numerous small vessels and fibrous elements[3], which would decrease the strength of the bone. These pathological changes increased the risk of fractures after head trauma. As the enhanced MRI was performed after surgery, the enhancement of right frontal sinus posterior wall might also be caused by a healing reaction. However, because the anterior wall of right frontal sinus and surrounding involved bones were also enhanced, it was reasonable to presume that the enhanced effect was mainly caused by pathological changes due to FD.
The second factor was increased intracranial pressure associated with CFD that might contribute to CSF rhinorrhea. In this case, a CT scan demonstrated significant thickening and expansion of multiple skull bones, decreasing the cranial cavity (Figure 1). However, before the head trauma, this patient did not have symptoms associated with increased intracranial pressure, including headache, nausea and vomiting. This suggested that before the trauma, the patient’s intracranial pressure was well compensated. However, as the cranial cavity was decreased after trauma, this compensation for a higher intracranial pressure was constrained. During the period of trauma, both the swelling of the brain and pneumocephalus might have contributed to the increased intracranial pressure. Without good compensation ability, the patient’s intracranial pressure increased. Although the intrac-ranial pressure measured by lumber puncture before the fistula repair surgery was normal, this might have been associated with an alleviation of the swelling brain after a forty-day recovery and the discharge of CSF through the fistula. To increase the cranial cavity, we contoured the excised bone to be thinner before it was placed back during the fistula repair surgery. This treatment effect was satisfactory (Figure 3).
In this case, CSF rhinorrhea began about twenty days after the head trauma. Initially, the fistula might be temporarily blocked by tissues such as the brain, granulation tissue, and sinus mucosa[14]. Sometimes, CSF leakage can occur more than 3 months after head trauma, termed delayed onset of CSF rhinorrhea[15]. Spontaneous CSF rhinorrhea has also been reported in various anterior cranial base pathologies, such as osteoma, pituitary adenoma, primary empty sella, and chordoma[16-19]. Spontaneous CSF rhinorrhea may be caused by pathological invasion of the cranial base or intracranial hypertension[20, 21]. Although it was reported that CFD may have a tendency for spontaneous CSF leakage[22], there have been no related case reports published to the best of our knowledge. Our case report may provide support to the idea that CFD may have a tendency for spontaneous CSF leakage. However, in some situations, CFD may decrease the risk of CSF rhinorrhea. For example, if the cavity of the paranasal sinus is filled with expanded bone tissue as in the left frontal sinus of our patient (Figure 1), CSF cannot drain out through the paranasal sinus. Furthermore, if the wall of the paranasal sinus contains more osseous elements, the bone strength is stronger and less likely to fracture. Therefore, whether CFD increases the risk of CSF rhinorrhea in different situations needs to be evaluated.
Because the sight of the patient’s left eye had decreased during follow up, we discuss the treatment strategy of CFD.
FD commonly behaves as a slow and indolent growing mass lesion, which is often present in the first 3 decades of life and usually stabilizes when the patient reaches skeletal maturity[6]. There have also been reports of persistence at later periods underlining their variable clinical behavior[22]. In CFD, the most common presenting symptom is a gradual, painless enlargement of the involved bone. If cranial foramina or bony cavities are involved, symptoms such as visual disturbances, orbital dystopia, proptosis, epiphora, facial paralysis, hearing loss, and nasal obstruction may occur.
The surgical treatment of CFD aims to correct the facial deformity in most cases and restore the obliterated foramina, when it the cause of problems. However, this can result in recurrence in 15%-20% of all cases, especially during the growth period[7, 23]. The most devastating consequence of CFD is the loss of vision due to optic nerve compression (ONC). There has been significant controversy regarding the manage-ment of FD of the sphenoid bones that encase the optic nerve, particularly in patients whose vision is normal. A meta-analysis[24] showed that most patients with CFD remain asymptomatic during long-term follow-up, and therefore expectant management is recommended in asymptomatic patients even in the presence of radiological evidence of ONC. Lee et al.[5]recommended that FD in the skull base around vital structures, including the optic nerve, should be managed according to the clinical examination and regular diagnostic imaging and observation is appro-priate in asymptomatic patients. When visual change or vision loss occurs due to ONC, decompression surgery can be performed. In this case, the patient’s age was over 30 years and a CT scan of the involved skull bones showed a mixed appearance (Figure 1). This indicated that the involved bones had entered a stable period. However, nineteen months later, sight in the patient’s left eye had decreased. A CT scan showed that compression of the left optic nerve was more severe than at nineteen months previously (Figure 5). MAS was suspected. Unfortunately, the patient refused to undergo the proposed decompression surgery and laboratory tests of serum hormones.
MAS is characterized by the triad of polyostotic FD, café-au-lait cutaneous spots, and various endocrino-pathies. Patients may have only 2 of the 3 characteristics, sometimes lacking the café-au-lait spots, and may have one or more of the numerous endocrine symptoms[12]. In MAS, the overall degree of bony enlargement and deformity is often more severe and disfiguring than in patients with polyostotic FD. The frequency of malignant change is also increased in MAS[25]. Furthermore, endocrine abnormalities can worsen the situation. For example, excessive growth hormone production might cause severe deformities and a higher risk of vision loss related to optic nerve compression[26, 27]. Chronic thyroid hormone excess can cause clinically significant bone mineral loss through the direct stimulation of bone resorption[28]. Therefore, MAS should be precluded before polyostotic FD is diagnosed.
This case suggests that CFD, especially in cases where walls of the paranasal sinuses are involved and contain numerous fibrous elements, may increase the risk of CSF rhinorrhea after head trauma. If we can recognize the high risk of CSF rhinorrhea in similar situations, immediate treatment or close observation may improve the prognosis of patients.
4 Conflict of interestsThe authors have no financial interest to disclose regarding the article.
| [1] | Hanifi B, Samil KS, Yasar C, Cengiz C, Ercan A, Ramazan D. Craniofacial fibrous dysplasia. Clin Imaging , 2013, 37 (6) : 1109–1115. DOI:10.1016/j.clinimag.2013.01.010 |
| [2] | Chapurlat RD, Orcel P. Fibrous dysplasia of bone and McCune-Albright syndrome. Best Pract Res Clin Rheumatol , 2008, 22 (1) : 55–69. DOI:10.1016/j.berh.2007.11.004 |
| [3] | Jee WH, Choi KH, Choe BY, Park JM, Shinn KS. Fibrous dysplasia:MR imaging characteristics with radiopathologic-correlation. AJR Am J Roentgenol , 1996, 167 (6) : 1523–1527. DOI:10.2214/ajr.167.6.8956590 |
| [4] | Assaf AT, Benecke AW, Riecke B, Zustin J, Fuhrmann AW, Heiland M, Friedrich RE. Craniofacial fibrous dysplasia (CFD) of the maxilla in an 11-year old boy:A case report. J Craniomaxillofac Surg , 2012, 40 (8) : 788–792. DOI:10.1016/j.jcms.2012.02.016 |
| [5] | Lee JS, FitzGibbon EJ, Chen YR, Kim HJ, Lustig LR, Akintoye SO, Collins MT, Kaban LB. Clinical guidelines for the management of craniofacial fibrous dysplasia. Orphanet J Rare Dis , 2012, 7 (Suppl 1) : S2. DOI:10.1186/1750-1172-7-S1-S2 |
| [6] | Menon S, Venkatswamy S, Ramu V, Banu K, Ehtaih S, Kashyap VM. Craniofacial fibrous dysplasia:Surgery and literature review. Ann Maxillofac Surg , 2013, 3 (1) : 66–71. DOI:10.4103/2231-0746.110088 |
| [7] | Valentini V, Cassoni A, Marianetti TM, Terenzi V, Fadda MT, Iannetti G. Craniomaxillofacial fibrous dysplasia:Conservative treatment or radical surgery? A retrospective study on 68 patients. Plast Reconstr Surg , 2009, 123 (2) : 653–660. DOI:10.1097/PRS.0b013e318196bbbe |
| [8] | Diah E, Morris DE, Lo LJ, Chen YR. Cyst degeneration in craniofacial fibrous dysplasia:Clinical presentation and management. J Neurosurg , 2007, 107 (3) : 504–508. DOI:10.3171/JNS-07/09/0504 |
| [9] | Wei YT, Jiang S, Cen Y. Fibrous dysplasia of skull. J Craniofac Surg , 2010, 21 (2) : 538–542. DOI:10.1097/SCS.0b013e3181d0243f |
| [10] | Cai MJ, Ma LT, Xu GZ, Gruen P, Li J, Yang M, Pan L, Guan HF, Chen G, Gong J, et al. Clinical and radiological observation in a surgical series of 36 cases of fibrous dysplasia of the skull. Clin Neurol Neurosurg , 2012, 114 (3) : 254–259. DOI:10.1016/j.clineuro.2011.10.026 |
| [11] | Ganda K, Seibel MJ. Rapid biochemical response to denosumab in fibrous dysplasia of bone:Report of two cases. Osteoporos Int , 2014, 25 (2) : 777–782. DOI:10.1007/s00198-013-2585-1 |
| [12] | Riddle ND, Bui MM. Fibrous dysplasia. Arch Pathol Lab Med , 2013, 137 (1) : 134–138. DOI:10.5858/arpa.2012.0013-RS |
| [13] | Pai B, Ferdinand D. Fibrous dysplasia causing safeguarding concerns. Arch Dis Child , 2013, 98 (12) : 1003. DOI:10.1136/archdischild-2013-304490 |
| [14] | Kamochi H, Kusaka G, Ishikawa M, Ishikawa S, Tanaka Y. Late onset cerebrospinal fluid leakage associated with past head injury. Neurol Med Chir (Tokyo) , 2013, 53 (4) : 217–220. DOI:10.2176/nmc.53.217 |
| [15] | Ziu M, Savage JG, Jimenez DF. Diagnosis and treatment of cerebrospinal fluid rhinorrhea following accidental traumatic anterior skull base fractures. Neurosurg Focus , 2012, 32 (6) : E3. DOI:10.3171/2012.4.FOCUS1244 |
| [16] | Kong F, Zhang QH, Qu QY. Transclival cerebrospinal fluid rhinorrhea as the initial presenting symptom of a tiny intraduralchordoma. J Clin Neurosci , 2010, 17 (8) : 1083–1085. DOI:10.1016/j.jocn.2009.12.012 |
| [17] | Hsu CCT, Kwan GNC, Bhuta SS. Non-traumatic cerebro-spinal fluid rhinorrhea caused by ethmoid sinus osteoma. J Clin Neurosci , 2010, 17 (9) : 1185–1186. DOI:10.1016/j.jocn.2009.11.028 |
| [18] | Lam G, Mehta V, Zada G. Spontaneous and medically induced cerebrospinal fluid leakage in the setting of pituitary adenomas:Review of the literature. Neurosurg Focus , 2012, 32 (6) : E2. DOI:10.3171/2012.4.FOCUS1268 |
| [19] | Perani D, Scotti G, Colombo N, Sterzi R, Castelli A. Spontaneous CSF rhinorrhea through the lamina cribrosa associated with primary empty sella. Ital J Neurol Sci , 1984, 5 (2) : 167–172. DOI:10.1007/BF02043218 |
| [20] | Wang EW, Vandergrift WA, Schlosser RJ. Spontaneous CSF Leaks. Otolaryngol Clin North Am , 2011, 44 (4) : 845–856. DOI:10.1016/j.otc.2011.06.018 |
| [21] | Yang ZJ, Wang B, Wang CC, Liu P. Primary spontaneous cerebrospinal fluid rhinorrhea:A symptom of idiopathic intracranial hypertension?. J Neurosurg , 2011, 115 (1) : 165–170. DOI:10.3171/2011.3.JNS101447 |
| [22] | Schreiber A, Villaret AB, Maroldi R, Nicolai P. Fibrous dysplasia of the sinonasal tract and adjacent skull base. Curr Opin Otolaryngol Head Neck Surg , 2012, 20 (1) : 45–52. DOI:10.1097/MOO.0b013e32834e901c |
| [23] | Feingold RS, Argamaso RV, Strauch B. Free fibula flap mandible reconstruction for oral obstruction secondary to giant fibrous dysplasia. Plast Reconstr Surg , 1996, 97 (1) : 196–201. DOI:10.1097/00006534-199601000-00032 |
| [24] | Amit M, Collins MT, FitzGibbon EJ, Butman JA, Fliss DM, Gil Z. Surgery versus watchful waiting in patients with craniofacial fibrous dysplasia-A meta-analysis. PLoS One , 2011, 6 (9) : e25179. DOI:10.1371/journal.pone.0025179 |
| [25] | Hansen MR, Moffat JC. Osteosarcoma of the skull base after radiation therapy in a patient with McCune-Albright syndrome:Case report. Skull Base , 2003, 13 (2) : 79–83. DOI:10.1055/s-2003-40597 |
| [26] | Cutler CM, Lee JS, Butman JA, FitzGibbon EJ, Kelly MH, Brillante BA, Feuillan P, Robey PG, DuFresne CR, Collins MT. Long-term outcome of optic nerve encasement and optic nerve decompression in patients with fibrous dysplasia:Risk factors for blindness and safety of observation. Neurosurgery , 2006, 59 (5) : 1011–1017. |
| [27] | Lala R, Matarazzo P, Andreo M, Defilippi C, de Sanctis C. Impact of endocrine hyperfunction and phosphate wasting on bone in McCune-Albright syndrome. J Pediatr Endocrinol Metab , 2002, 15 Suppl 3 : 913–920. |
| [28] | Kollerova J, Koller T, Zelinkova Z, Kostalova L, Payer J. Treatment of pathological bone fractures in a patient with McCune-Albright syndrome. Case Rep Endocrinol , 2013, 2013 : 589872. |



