Please wait a minute...
 首页  About Journal Qun Xue Subscription Contact us English
 
最新录用  |  当期目录  |  过刊浏览  |  热点文章  |  阅读排行  |  下载排行  |  引用排行
临床转化神经科学  2016, Vol. 2 Issue (1): 17-24    DOI: 10.18679/CN11-6030/R.2016.009
  本期目录 | 过刊浏览 | 高级检索 |
Effects of regional cerebral blood flow perfusion on learning and memory function and its molecular mechanism in rats
Cunli Xu1, Wenhua Wu2, Lingbin Kong3
1 Rehabilitation Medicine Center, The First People's Hospital of Jining, Jining, China;
2 Department of Neurology, The Second People's Hospital of Jining, Jining, China;
3 Shandong Institute of Behavioral Medical Science, Jining Medical College, Jining, China
Effects of regional cerebral blood flow perfusion on learning and memory function and its molecular mechanism in rats
Cunli Xu1, Wenhua Wu2, Lingbin Kong3
1 Rehabilitation Medicine Center, The First People's Hospital of Jining, Jining, China;
2 Department of Neurology, The Second People's Hospital of Jining, Jining, China;
3 Shandong Institute of Behavioral Medical Science, Jining Medical College, Jining, China
下载:  PDF (1047KB) 
输出:  BibTeX | EndNote (RIS)      
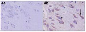
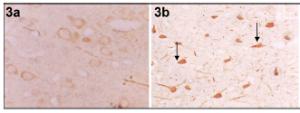
摘要 Objective: To study the effects of regional cerebral blood flow (rCBF) perfusion on learning and memory function in special brain areas and its molecular mechanism in rat. Methods: Sixty-four adult male healthy Sprague-Dawley (SD) rats were randomly divided into two groups: A false operation group and an operation group. The false operation group was randomly divided into four subgroups (A0, B0, C0, and D0) and the operation group was randomly divided into four subgroups (A, B, C, and D), with eight rats in each subgroup. The operation group underwent bilateral common carotid artery permanent ligation, while the other group only underwent a skin incision without the bilateral common carotid artery permanent ligation. Learning memory function of rats in each subgroup was measured using a Y-maze at 4 h, 8 h, 24 h, and 3 days after surgery. The rCBF in the right frontal lobe and hippocampus was detected using the Periflux PF model laser Doppler flowmetry and c-fos, c-jun, Bcl-2, and Bax protein expression in the right frontal lobe and hippocampus was measured using immunohistochemistry. Results: The rCBF in the right frontal lobule division and right hippocampus division was significantly lower in the operation group than in the false operation group (P < 0.05). The error number (EN), time to reach the target, and total reaction time (TRT) for the learning index using the Y-type labyrinth test in the operation group were significantly higher than that in the false operation group (P < 0.05); however, the active avoid rate in the operation group was significantly lower than that of the false operation group. Expression of c-fos and c-jun as well as the average absorbency in the right frontal lobule division and right hippocampus division in the operation group were significantly higher than those in the false operation group (P < 0.05). The number of Bax and Bcl-2-positive cells was significantly higher in the operation group, and the expression ratio of Bax/Bcl-2 in the operation group was significantly higher than that in the false operation group (P < 0.01). Conclusions: rCBF decrease can impair learning and memory function in rats, which may be related to the increased expression of c-fos, c-jun, Bcl-2, and Bax proteins in the t he frontal cortex and hippocampus.
服务
把本文推荐给朋友
加入引用管理器
E-mail Alert
RSS
作者相关文章
Cunli Xu
Wenhua Wu
Lingbin Kong
关键词:  regional cerebral blood flow  learning and memory function  correlation  molecular mechanism    
Abstract: Objective: To study the effects of regional cerebral blood flow (rCBF) perfusion on learning and memory function in special brain areas and its molecular mechanism in rat. Methods: Sixty-four adult male healthy Sprague-Dawley (SD) rats were randomly divided into two groups: A false operation group and an operation group. The false operation group was randomly divided into four subgroups (A0, B0, C0, and D0) and the operation group was randomly divided into four subgroups (A, B, C, and D), with eight rats in each subgroup. The operation group underwent bilateral common carotid artery permanent ligation, while the other group only underwent a skin incision without the bilateral common carotid artery permanent ligation. Learning memory function of rats in each subgroup was measured using a Y-maze at 4 h, 8 h, 24 h, and 3 days after surgery. The rCBF in the right frontal lobe and hippocampus was detected using the Periflux PF model laser Doppler flowmetry and c-fos, c-jun, Bcl-2, and Bax protein expression in the right frontal lobe and hippocampus was measured using immunohistochemistry. Results: The rCBF in the right frontal lobule division and right hippocampus division was significantly lower in the operation group than in the false operation group (P < 0.05). The error number (EN), time to reach the target, and total reaction time (TRT) for the learning index using the Y-type labyrinth test in the operation group were significantly higher than that in the false operation group (P < 0.05); however, the active avoid rate in the operation group was significantly lower than that of the false operation group. Expression of c-fos and c-jun as well as the average absorbency in the right frontal lobule division and right hippocampus division in the operation group were significantly higher than those in the false operation group (P < 0.05). The number of Bax and Bcl-2-positive cells was significantly higher in the operation group, and the expression ratio of Bax/Bcl-2 in the operation group was significantly higher than that in the false operation group (P < 0.01). Conclusions: rCBF decrease can impair learning and memory function in rats, which may be related to the increased expression of c-fos, c-jun, Bcl-2, and Bax proteins in the t he frontal cortex and hippocampus.
Key words:  regional cerebral blood flow    learning and memory function    correlation    molecular mechanism
收稿日期:  2016-01-11      修回日期:  2016-02-18           出版日期:  2016-03-31      发布日期:  2016-03-31      期的出版日期:  2016-03-31
通讯作者:  Lingbin Kong, E-mail: klb3904@163.com    E-mail:  klb3904@163.com
引用本文:    
Cunli Xu, Wenhua Wu, Lingbin Kong. Effects of regional cerebral blood flow perfusion on learning and memory function and its molecular mechanism in rats[J]. 临床转化神经科学, 2016, 2(1): 17-24.
Cunli Xu, Wenhua Wu, Lingbin Kong. Effects of regional cerebral blood flow perfusion on learning and memory function and its molecular mechanism in rats. Translational Neuroscience and Clinics, 2016, 2(1): 17-24.
链接本文:  
http://tnc.tsinghuajournals.com/CN/10.18679/CN11-6030/R.2016.009  或          http://tnc.tsinghuajournals.com/CN/Y2016/V2/I1/17
20160503092134  
20160503092148  
20160503092206  
20160503092216  
20160503092228  
20160503092258  
20160503092321  
20160503092344  
20160503092405  
20160503092425  
[1] Cao YG, Xu LJ, Xu L, Song ZK, Wu JM. Progress in the mechanism and prevention of skeletal muscle ischemiareperfusion injury. Med Recapitul 2009, 15(1): 126-129. (in Chinese)
[2] Séquier JM, Hunziker W, Richards G. Localization of calbindin D28 mRNA in rat tissues by in situ hybridization. Neurosci Lett 1988, 86(2): 155-160.
[3] Ryseck RP, Bravo R. c-JUN, JUN B, and JUN D differ in their binding affinities to AP-1 and CRE consensus sequences: Effect of FOS proteins. Oncogene 1991, 6(4): 533-542.
[4] Ohkubo Y, Arima M, Arguni E, Okada S, Yamashita K, Asari S, Obata S, Sakamoto A, Hatano M, O-Wang J, et al. A role for c-fos/Activator protein 1 in B lymphocyte terminal differentiation. J Immunol 2005, 174(12): 7703-7710.
[5] Han J, Guo HZ. Effect of ischemic preconditioning on expression of hsp70 and fos after focal cerebral infarction in rat. Chin J Clin Neurosci 2004, 12(2): 136-139. (in Chinese)
[6] Wiedmann R, Rosahl SK, Brinker T, Samii M, Nakamura M. Effect of acute and chronic bilateral visual deafferentation on c-fos immunoreactivity in the visual system of adult rats. Exp Brain Res 2013, 229(4): 595-607
[7] Montag-Sallaz M, Buonviso N. Altered odor-induced expression of c-fos and arg 3.1 immediate early genes in the olfactory system after familiarization with an odor. J Neurobiol 2002, 52(1): 61-72.
[8] Zhou F, Guo JC, Yang R, Gu J, Jin HB, Wu GC, Cheng JS. Effects of taurine on cerebral blood flow perfusion, cell apoptosis, and infarct volume in acute cerebral ischemic rats. In Taurine 6. Oja SS, Saransaari P, Eds. US: Springer, 2006, 583: 353-358.
[9] Blasiak A, Siwiec M, Grabowiecka A, Blasiak T, Czerw A, Blasiak E, Kania A, Rajfur Z, Lewandowski MH, Gundlach AL. Excitatory orexinergic innervation of rat nucleus incertuse—Implications for ascending arousal, motivation and feeding control. Neuropharmacology 2015, 99: 432-447.
[10] Herrera DG, Robertson HA. Activation of c-fos in the brain. Progr Neurobiol 1996, 50(2-3): 83-107.
[11] Herdegen T, Waetzig V. AP-1 proteins in the adult brain: Facts and fiction about effectors of neuroprotection and neurodegeneration. Oncogene 2001, 20(19): 2424-2437.
[12] Runyan JD, Dash PK. Distinct prefrontal molecular mechanisms for information storage lasting seconds versus minutes. Learn Mem 2005, 12(3): 232-238.
[13] Hu JL, Xie H, Long ZJ, Meng Q, Zhang YH, He YS. Effects of Ning-Shen Wen-Dan decoction to the expression of apoptosis protein Bax, Bcl-2 in hippocampus of rats. Chin J Basic Med Tradit Chin Med 2013, 19(4): 394-396. (in Chinese)
[14] Van Der Borght K, Wallinga AE, Luiten PGM, Eggen BJL, Van Der Zee EA. Morris water maze learning in two rat strains increases the expression of the polysialylated form of the neural cell adhesion molecule in the dentate gyrus but has no effect on hippocampal neurogenesis. Behav Neurosci 2005, 119(4): 926-932.
No related articles found!
[1] Dehao Yu, Longhua Zhao. Boundary Integral Equations and A Posteriori Error Estimates[J]. Tsinghua Science and Technology, 2005, 10(1): 35 -42 .
[2] Dehao Yu, Longhua Zhao. Boundary Integral Equations and A Posteriori Error Estimates[J]. Tsinghua Science and Technology, 2005, 10(1): 35 -42 .
[3] Dehao Yu, Longhua Zhao. Boundary Integral Equations and A Posteriori Error Estimates[J]. Tsinghua Science and Technology, 2005, 10(1): 35 -42 .
[4] Shimin Zhang, Jinsong Wang, Zhiping Guo. Novel Micro Free-Piston Swing Engine and Its Feasibility Validation[J]. Tsinghua Science and Technology, 2005, 10(3): 381 -386 .
[5] Shimin Zhang, Jinsong Wang, Zhiping Guo. Novel Micro Free-Piston Swing Engine and Its Feasibility Validation[J]. Tsinghua Science and Technology, 2005, 10(3): 381 -386 .
[6] Shimin Zhang, Jinsong Wang, Zhiping Guo. Novel Micro Free-Piston Swing Engine and Its Feasibility Validation[J]. Tsinghua Science and Technology, 2005, 10(3): 381 -386 .
[7] Xijiang Pan, Senfang Sui. Three-Dimensional Reconstruction of E. coli SecA at Low Resolution[J]. Tsinghua Science and Technology, 2005, 10(4): 445 -448 .
[8] Xijiang Pan, Senfang Sui. Three-Dimensional Reconstruction of E. coli SecA at Low Resolution[J]. Tsinghua Science and Technology, 2005, 10(4): 445 -448 .
[9] Xijiang Pan, Senfang Sui. Three-Dimensional Reconstruction of E. coli SecA at Low Resolution[J]. Tsinghua Science and Technology, 2005, 10(4): 445 -448 .
[10] Hui Luo, Huimin Yu, Qiang Li, Zhongyao Shen. Rapid Cloning and Expression of Glutaryl-7-Aminocephalosporanic Acid Acylase Genes from Soil Samples[J]. Tsinghua Science and Technology, 2005, 10(5): 529 -534 .
Viewed
Full text


Abstract

Cited

  Shared   
  Discussed   
版权所有 © 《临床转化神经科学》编辑部


本系统由北京玛格泰克科技发展有限公司设计开发 技术支持:support@magtech.com.cn