首页  About Journal Qun Xue Subscription Contact us English
 
最新录用  |  当期目录  |  过刊浏览  |  热点文章  |  阅读排行  |  下载排行  |  引用排行

精选文章列表

    Please wait a minute...
    选择: 显示/隐藏图片
    1. Using nerve segment insert grafting to reconstruct neural pathways of brain-derived paralysis
    Wenbin Ding, Shaocheng Zhang, Zhuo Wang, Lin Chen, Chuansen Zhang, Ping Huang, Shunfa Liu, Laiqing Sun, Yuhai Ma, Jun Yang, Fei Huang, Chengjing Xue, Yanxue Zhong, Lei Yin, Yongtai Pan, Dajiang Wu
    临床转化神经科学    2017, 3 (4): 188-195.   DOI: 10.18679/CN11-6030/R.2017.028
    摘要585)      PDF (2008KB)(455)   
    Since 1992, task groups have used free nerve auto grafts to bridge partially transected nerves from the dominant area of the normal cerebral cortex to nerves that innervate spastic muscles from a diseased cerebral cortex, using transplanting sutures to alleviate the muscle spasm of cerebral palsy caused by different diseases. This has facilitated rebuilding of some of its neurological function. In this study, 80 such patients were followed up, including 20 patients with traumatic brain injury, 32 patients with stroke, and 28 pediatric patients with cerebral palsy. After postoperative follow-up of 3 to 21 years, the efficacy rate of this operation was 100% and the excellent and good spasm relief rate was 82.5%.
    图表 | 参考文献 | 相关文章 | 多维度评价
    2. Hemodynamic consideration of intracranial aneurysm
    Hiroshi Ujiie, Chie Shinohara, Yoshinori Tamano, Kouichi Katou, Akira Teramoto
    临床转化神经科学    2017, 3 (4): 229-236.   DOI: 10.18679/CN11-6030/R.2017.034
    摘要432)      PDF (2472KB)(374)   
    We reviewed basic considerations in fluid dynamics of cerebral aneurysms and applied these in surgery on the three most common types: internal carotid-posterior communicating artery, middle cerebral artery, and anterior communicating artery. It was found that aneurysmal initiation and growth do not occur at symmetric bifurcations. As blood flow always obeys the law of inertia, jet flow into the aneurysm will disperse along the wall; assuming the aneurysmal wall strength is even, the shape of the aneurysm becomes round or oval. When neurosurgeons encounter an aneurysm that is not round or oval, the wall may be fragile and requires great care during surgical manipulation.
    图表 | 参考文献 | 相关文章 | 多维度评价
    3. Advances in research of intracranial vascular stent
    Kun Hu, Fan Zhang, Yuhua Jiang, Xiangqian Xu, Yongkai Yang, Xia Cui
    临床转化神经科学    2017, 3 (3): 176-184.   DOI: 10.18679/CN11-6030/R.2017.026
    摘要556)      PDF (1503KB)(537)   
    In recent years, China's population has shown an obvious aging trend. This trend has been accompanied by an increased incidence of cardiovascular disease and death. Intracranial stenting has become an important treatment modality for intracranial vascular disease because it is effective, safe, and widely approved. In this paper, we review the literature concerning the classification, structure, preparation, and performance of intracranial stents. We also summarize problems and future prospects in the context of intracranial stents. This paper will serve as a reference for the future research and development of intracranial stents.
    图表 | 参考文献 | 相关文章 | 多维度评价
    4. Generation of genetically modified olfactory ensheathing cells that secrete VEGF:Potential application in cell-based treatment of leukoaraiosis
    Chuanqiang Qu, Yuanyuan Zhao, Qinjian Sun, Yifeng Du
    临床转化神经科学    2017, 3 (2): 104-110.   DOI: 10.18679/CN11-6030/R.2017.012
    摘要564)      PDF (1525KB)(380)   
    Objective: We aimed to provide an alternative cell source for cell therapy in leukoaraiosis (LA).
    Methods: Olfactory ensheathing cells (OECs) from the olfactory bulb were isolated,cultured,and purified.Next,the lentivirus carrying human VEGF165 gene was constructed and transfected into OECs.
    Results: The proliferative capacity of primary OECs was strong.OECs were infected with different multiplicity of infection.The expression level of VEGF was confirmed by real-time PCR with specific primers for GAPDH and VEGF,indicating that the genetically engineered OECs-VEGF produced VEGF with functional activity.
    Conclusions: Our data showed that these engineered OECs-VEGF highly express functional VEGF and retain the characteristics of astrocytes and Schwann cells,providing an alternative cell source for cell therapy in LA.
    图表 | 参考文献 | 相关文章 | 多维度评价
    5. Ghost imaging for online angiography
    Zhaohua Yang, Nan Zhang, Yuzhe Sun, Yuanjin Yu
    临床转化神经科学    2017, 3 (2): 116-120.   DOI: 10.18679/CN11-6030/R.2017.016
    摘要474)      PDF (1047KB)(494)   
    Ghost imaging (GI) has characteristics that make it promising for applications in life sciences and other fields,such as its high sensitivity and strong anti-interference compared with traditional imaging.This paper presents a new approach for online angiography using GI.Two signals are correlation-calculated to detect the object image:one of them is the random light field generated by a computer,and the other enters the optical fiber path after being transmitted to the detected object via a modulator.A new approach for the real-time imaging of intravascular flow,vascular wall structures,and components of atherosclerotic plaque is proposed,which has the advantages of a high sensitivity and anti-interference.
    图表 | 参考文献 | 相关文章 | 多维度评价
    6. Long-term results of a simultaneous trial of deep brain and motor cortex stimulation in refractory neuropathic pain
    Byung-chul Son, Jin-gyu Choi, Sang-woo Ha, Deog-ryeong Kim
    临床转化神经科学    2017, 3 (1): 4-15.   DOI: 10.18679/CN11-6030/R.2017.002
    摘要533)      PDF (2084KB)(519)   
    Objective: Although deep brain stimulation (DBS) and motor cortex stimulation (MCS) are effective in patients with refractory neuropathic pain, their application is still empirical; there is no consensus on which technique is better.
    Methods: To enhance the success rate of trial stimulation of invasive neuromodulation techniques and identify approapriate stimulation targets in individual patients, we performed a simultaneous trial of thalamic ventralis caudalis (Vc) DBS and MCS in 11 patients with chronic neuropathic pain and assessed the results of the trial stimulation and long-term analgesia.
    Results: Of the 11 patients implanted with both DBS and MCS electrodes, nine (81.8%) had successful trials. Seven of these nine patients (77.8%) responded to MCS, and two (18.2%) responded to Vc DBS. With long-term follow-up (56 ± 27.5 months), the mean numerical rating scale decreased significantly (P < 0.05). The degree of percentage pain relief in the chronic MCS (n = 7) and chronic DBS (n = 2) groups were 34.1% ± 18.2% and 37.5%, respectively, and there was no significant difference (P = 0.807). Five out of the seven MCS patients (71%) and both DBS patients had long-term success with the treatments, defined as >30% pain relief compared with baseline.
    Conclusions: With simultaneous trial of DBS and MCS, we could enhance the success rate of invasive trials. Considering the initial success rate and the less invasive nature of epidural MCS over DBS, we suggest that MCS may be a better, initial means of treatment in chronic intractable neuropathic pain. Further investigations including other subcortical target-associated medial pain pathways are warranted.
    图表 | 相关文章 | 多维度评价
    7. Skull repair materials applied in cranioplasty: History and progress
    Qingsheng Yu, Lin Chen, Zhiye Qiu, Yuqi Zhang, Tianxi Song, Fuzhai Cui
    临床转化神经科学    2017, 3 (1): 48-57.   DOI: 10.18679/CN11-6030/R.2017.007
    摘要659)      PDF (1065KB)(718)   
    The skull provides protection and mechanical support, and acts as a container for the brain and its accessory organs. Some defects in the skull can fatally threaten human life. Many efforts have been taken to repair defects in the skull, among which cranioplasty is the most prominent technique. To repair the injury, numerous natural and artificial materials have been adopted by neurosurgeons. Many cranioprostheses have been tried in the past decades, from autoplast to bioceramics. Neurosurgeons have been evaluating their advantages and shortages through clinical practice. Among those prostheses, surgeons gradually prefer bionic ones due to their marvelous osteoconductivity, osteoinductivity, biocompatibility, and biodegradability. Autogeneic bone has been widely recognized as the “gold standard” for renovating large-sized bone defects. However, the access to this technique is restricted by limited availability and complications associated with its use. Many metal and polymeric materials with mechanical characteristics analogous to natural bones were consequently applied to cranioplasty. But most of them were unsatisfactory concerning osteoconductiion and biodegradability owe to their intrinsic properties. With the microstructures almost identical to natural bones, mineralized collagen has biological performance nearly identical to autogeneic bone, such as osteoconduction. Implants made of mineralized collagen can integrate themselves into the newly formed bones through a process called “creeping substitution”. In this review, the authors retrospect the evolution of skull repair material applied in cranioplasty. The ultimate skull repair material should have microstructure and bioactive qualities that enable osteogenesis induction and intramembranous ossification.
    图表 | 参考文献 | 相关文章 | 多维度评价
    8. Application of multimodal image fusion technology in brain tumor surgical procedure
    Jiefei Li, Yuqi Zhang, Le He, Huancong Zuo
    临床转化神经科学    2016, 2 (4): 215-226.   DOI: 10.18679/CN11-6030/R.2016.035
    摘要619)      PDF (5118KB)(529)   
    Objective: To construct brain tumors and their surrounding anatomical structures through the method of registration, fusion and, three-dimensional (3D) reconstruction based on multimodal image data and to provide the visual information of tumor, skull, brain, and vessels for preoperative evaluation, surgical planning, and function protection.
    Methods: The image data of computed tomography (CT) and magnetic resonance imaging (MRI) were collected from fifteen patients with confirmed brain tumors. We reconstructed brain tumors and their surrounding anatomical structures using NeuroTech software.
    Results: The whole 3D structures including tumor, brain surface, skull, and vessels were successfully reconstructed based on the CT and MRI images. Reconstruction image clearly shows the tumor size, location, shape, and the anatomical relationship of tumor and surrounding structures. We can hide any reconstructed images such as skull, brain tissue, blood vessles, or tumors. We also can adjust the color of reconstructed images and rotate images to observe the structures from any direction. Reconstruction of brain and skull can be semi transparent to display the deep structure; reconstruction of the structures can be axial, coronal, and sagittal cutting to show relationship among tumor and surrounding structures. The reconstructed 3D structures clearly depicted the tumor features, such as size, location, and shape, and provided visual information of the spatial relationship among its surrounding structures.
    Conclusions: The method of registration, fusion, and 3D reconstruction based on multimodal images to provide the visual information is feasible and practical. The reconstructed 3D structures are useful for preoperative assessment, incision design, the choice of surgical approach, tumor resection, and functional protection.
    图表 | 参考文献 | 相关文章 | 多维度评价
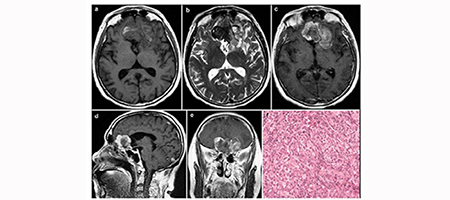
    9. Neurocutaneous melanosis with intraspinal malignant melanoma in adults-an extremely rare clinical entity: A case report with review of literature
    Dongkang Liu, Yujun Wei, James Wang, Guihuai Wang
    临床转化神经科学    2016, 2 (4): 236-240.   DOI: 10.18679/CN11-6030/R.2016.039
    摘要459)      PDF (3124KB)(487)   
    Objective: Neurocutaneous melanosis (NCM) in adult patients was rare, and few cases had been reported. In this report, we summarized the features of NCM in adult patients for providing useful information about this rare clinical entity.
    Methods: In this report, we present a case of a 41-year-old woman, who was eventually diagnosed with NCM with intraspinal malignant melanoma. The clinical features, treatments, and prognosis of cases of NCM in adults were thoroughly reviewed and discussed.
    Results: A 41-year-old woman was eventually diagnosed with NCM with intraspinal malignant melanoma. The post-operative course was uneventful and her symptoms significantly improved (VAS: 3 points). However, she developed symptoms of intracranial hypertension and deteriorated rapidly after 11 months of operation, and died 1 month later. To date, only 15 cases of NCM in adults have been reported in the English literature. Analyses showed that the average age was 33.8 years (range 19-65 years), and 11 patients (68.8%) were between 20 and 40 years. A slight male predominance (M:F/11:5) was found. For the 12 cases which detailed follow-up information was available, 9 patients (75%) died, with a survival time ranging from 1 day to 29 months post-operation. Death occurred within the first month of operation in 6 cases (46.2%). The median survival time was 3 months.
    Conclusions: We presented a rare case of NCM with intraspinal malignant melanoma in an adult patient. Although rare, this clinical entity causes significant mortality and has poor prognosis.
    图表 | 参考文献 | 相关文章 | 多维度评价
    10. Clinical features and prognostic factors of primary intracranial malignant fibrous histiocytoma: A report of 8 cases and a literature review
    Peng Li, Qiangyi Zhou, Zhijun Yang, Zhenmin Wang, Shiwei Li, Xingchao Wang, Bo Wang, Fu Zhao, Pinan Liu
    临床转化神经科学    2016, 2 (3): 155-164.   DOI: 10.18679/CN11-6030/R.2016.024
    摘要538)      PDF (2702KB)(697)   
    Objective: Primary intracranial malignant fibrous histiocytoma (MFH) is rare. We describe the detailed clinical features of 8 cases and fully review the literature to evaluate several prognostic factors. Methods: Eight patients with pathologically confirmed primary intracranial MFH were retrospectively reviewed. We searched PubMed for relevant articles with the term "intracranial malignant fibrous histiocytoma". Results: Of the 8 patients, 4 were men and 4 were women. Three patients had received previous radiotherapy. The age of the patients ranged from 19 to 69 years, with a median age of 48 years. Most tumors could be totally resected; and only 1 tumor was subtotally resected. Six patients received postoperative radiotherapy and 3 patients received postoperative chemotherapy. Most patients died within the first year after surgery; and only 1 patient was still alive on the date of the last follow-up. We reviewed the literature and included a total of 46 patients in the Kaplan-Meier survival analysis. Young patients (less than 30 years old) seemed to have a better prognosis and survival rate than older patients (more than 30 years old) (log-rank test, P=0.008). However, sex (P=0.675), extent of resection (P=0.934), postoperative radiotherapy (P=0.592), and postoperative chemotherapy (P=0.424) did not affect patient prognosis. Conclusions: The prognosis of MFH is usually poor, and most patients die within the first year after surgery. Younger MFH patients (less than 30 years old) seem to have a better prognosis and improved survival compared to older patients.
    图表 | 参考文献 | 相关文章 | 多维度评价
    11. Effects of voluntary imipramine intake via food and water in paradigms of anxiety and depression in naïve mice
    João Pedro Costa-Nunes, Anastassia Bakhmet, Margarida Araújo-Correia, Andreia Barbosa Valença, Tatyana Strekalova, Harry W. M. Steinbusch
    临床转化神经科学    2016, 2 (3): 172-182.   DOI: 10.18679/CN11-6030/R.2016.021
    摘要403)      PDF (1726KB)(654)   
    Objective: We sought to investigate the efficacy of oral dosing in mice with imipramine (7mg/kg/day) via water or in food pellets, and to compare its effects in the paradigms of learned helplessness, locomotion, hedonic state, and anxiety. Methods: Water and food consumption were measured to determine daily imipramine dosage in C57BL/6N mice. Next, baseline scores for O-maze, dark/light box, and sucrose tests were measured. Mice were then subjected to a 4-week treatment of voluntary ingestion of drinking water or food pellets containing imipramine. Lastly, all groups were subjected to novel cage, open field, O-maze, dark/light box, sucrose test, and forced swim test to assess the effects of the treatment. Results: In naïve mice, imipramine delivered via food, induced a reduction of total floating and increased latency in the forced swim test, i.e., antidepressant-like effects. No other significant effects were found. Dosing with water did not change behavior in the forced swim, sucrose preference test, anxiety, or locomotor paradigms, but increased exploration in the novel cage. Conclusions: Voluntary ingestion is an effective method of chronic dosing with imipramine in naïve mice. Delivery of imipramine with food pellets elicits antidepressant-like effects in the forced swim test, with no effects on anxiety, locomotion, or preference behaviors. In contrast, no such effects were observed with treatment via drinking water, suggesting that a higher dose may be required. Our work argues for a broader use of oral delivery using food-treated pellets, in small rodent models of pre-clinical depression. It may substantially improve animal welfare and overcome potential confounds in translational research, which are frequently associated with adverse chronic invasive pharmacotherapies.
    图表 | 参考文献 | 相关文章 | 多维度评价
    12. Preliminary analysis of cellular sociology of co-cultured glioma initiating cells and macrophages in vitro
    Mingxia Zhang, Junjie Chen, Lin Wang, Xiaoyan Ji, Lin Yang, Yujing Sheng, Hairui Liu, Haiyang Wang, Aidong Wang, Xingliang Dai, Xiaonan Li, Qiang Huang, Jun Dong
    临床转化神经科学    2016, 2 (2): 77-86.   DOI: 10.18679/CN11-6030/R.2016.018
    摘要628)      PDF (2989KB)(892)   
    Objective: Real-time monitoring of cytokine secretion at the single immunocyte level, based on the concept of immune cells, sociology has been recently reported. However, the relationships between glioma-initiating cells (GICs) and host immune cells and their mutual interactions in the tumor microenvironment have not been directly observed and remain unclear.
    Methods: The dual fluorescence tracing technique was applied to label the co-cultured GICs and host macrophages (Mø), and the interactions between the two types of cells were observed using a live cell imaging system. Fusion cells in the co-culture system were monocloned and proliferated in vitro and their social interactions were observed and recorded.
    Results: Using real-time dynamic observation of target cells, 6 types of intercellular conjunction microtubes were found to function in the transfer of intercellular information between GICs and Mø; GICs and host Mø can fuse into hybrid cells after several rounds of mutual interactions, and then these fusion cells fused with each other; Fusion cells generated offspring cells through symmetrical and asymmetrical division or underwent apoptosis. A "cell in cell" phenomenon was observed in the fusion cells, which was often followed by cell release, namely entosis.
    Conclusions: Preliminary studies revealed the patterns of cell conjunction via microtubes between GICs and host Mø and the processes of cell fusion, division, and entosis. The results revealed malignant transformation of host Mø, induced by GICs, suggesting complex social relationships among tumor-immune cells in gliomas.
    图表 | 参考文献 | 相关文章 | 多维度评价
    13. New frontiers in biomaterials research for tissue repair and regeneration
    Huiling Liu, Haoran Liu, Aaron Clasky, Huilin Yang, Lei Yang
    临床转化神经科学    2016, 2 (2): 120-137.   DOI: 10.18679/CN11-6030/R.2016.017
    录用日期: 2016-06-02

    摘要659)      PDF (2713KB)(1247)   
    The field of biomaterials has recently emerged to augment or replace lost or damaged tissues and organs due to the human body's limited ability to self-heal large defects. Historically, metallic components, polymers, ceramics, and composite materials were utilized as synthetic materials along with natural materials to assist in therapy. Various novel biomaterials were developed to respond to a significant amount of new medical challenges in the past decade. Therefore, there is a need to review these newly developed biomaterials and their potential to improve tissue repair and regeneration in a variety of applications. Here, we briefly review the different strategies and attempts to use novel biomaterials, including self-assembled and macromolecular biomaterials, hydrogels, metamaterials, decellularized tissues, and biomaterials obtained via synthetic biology, used either for tissue repair and regeneration or for therapeutic use by exploiting other mechanisms of healing. All these methods aim to create functional materials, devices, systems, and/or organisms with novel and useful functions on the basis of catalogued and standardized biological building blocks. This review details the various methods and introduces the applications of these biomaterials in tissue repair and regeneration, especially for bone, nerve, and skin applications.
    图表 | 参考文献 | 相关文章 | 多维度评价
    14. Effects of aging on working memory performance and prefrontal cortex activity: A time-resolved spectroscopy study
    Jie Shi, Wenjing Zhou, Tongchao Geng, Huancong Zuo, Masahiro Tanida, Kaoru Sakatani
    临床转化神经科学    2016, 2 (1): 3-7.   DOI: 10.18679/CN11-6030/R.2016.006
    摘要361)      PDF (3122KB)(625)   
    Objective: This study aimed to employ time-resolved spectroscopy (TRS) to explore age-related differences in prefrontal cortex (PFC) activity while subjects performed a working memory task. Methods: We employed TRS to measure PFC activity in ten healthy younger and ten healthy older subjects while they performed a working memory (WM) task. All subjects performed the Sternberg test (ST) in which the memory-set size varied between one and six digits. Using TRS, we recorded changes in cerebral blood oxygenation as a measure of changes in PFC activity during the task. In order to identify left/right asymmetry of PFC activity during the working memory task, we calculated the laterality score, i.e., Δoxy-Hb (right Δoxy-Hb—left Δoxy-Hb); positive values indicate greater activity in the right PFC, while negative values indicate greater activity in the left PFC. Results: During the ST, statistical analyses showed no significant differences between the younger and older groups in accuracy for low memory-load and high memoryload. In high memory-load tasks, however, older subjects were slower than younger subjects (P < 0.05). We found that the younger group showed right lateral responses with a stronger right than left activation in the frontal pole, whereas the older group showed bilateral responses (P < 0.05). Conclusions: The present results are consistent with the hemispheric asymmetry reduction in older adults (HAROLD) model; working memory tasks cause asymmetrical PFC activation in younger adults, while older adults tend to show reduced hemispheric lateralization.
    图表 | 参考文献 | 相关文章 | 多维度评价
    15. Malignant transformation and treatment of cystic mixed germ cell tumor
    Yapeng Zhao, Hongyu Duan, Qinghui Zhang, Bingxin Shi, Hui Liang, Yuqi Zhang
    临床转化神经科学    2016, 2 (1): 25-30.   DOI: 10.18679/CN11-6030/R.2016.001
    摘要673)      PDF (4495KB)(687)   
    Objective: The authors report an extremely unusual presentation and management of a children pineal mixed germ cell tumor mainly composed of immature teratoma, aiming to summarize main theraptic points by literature review. Methods: A cystic lesion located in the rear of third ventricle in a child was detected 3 years ago with no other therapy performed except for a ventriculo-peritoneal shunt. During the following 3 years, intermitted regular brain MRI demonstrated no evidence of lesion aggrandizement. However from 20 days before admission to our institute the patient began to present acutely with exacerbating clinical symptoms meanwhile brain MRI showed signs of abrupt revulsions of initial lesion without any incentive cause. Neurological examination revealed a significant rising of serum tumor marker level. Then surgical resection was performed immediately after admission which was followed by correlative two-course chemotherapy. Results: Postoperative brain MRI demonstrated totally removing of the lesion in rear of third ventricle. Serum tumor marker level decreased remarkably after surgery and declined to normal level after two-course chemotherapy. No obvious neurological deficit occurred except for short-term memory difficulty which gradually recovered within two weeks. Soon after the second course chemotherapy the patient was currently asymptomatic and returned to school. Conclusions: (1) To ensure definitive diagnosis and proper therapecutic protocols benefit from grasping clinical features of mixed germ cell tumor. (2) Overall preoperative investigation including serum tumor marker level is as critical as neurological imaging examination. (3) Surgical excision is confirmed to be the key modality of treatment. With the regarding of mixed germ cell tumor, never highlight total resection too much. (4) Postoperative adjuvant chemotherapy is recommended as further intensive treatment to improve the prognosis of mix germ cell tumor.
    图表 | 参考文献 | 相关文章 | 多维度评价
    16. Repairing skull defects in children with nano-hap/collagen composites: A clinical report of thirteen cases
    Tuoyu Chen, Yuqi Zhang, Huancong Zuo, Yapeng Zhao, Chaoqiang Xue, Bin Luo, Qinglin Zhang, Jin Zhu, Xiumei Wang, Fuzhai Cui
    临床转化神经科学    2016, 2 (1): 31-37.   DOI: 10.18679/CN11-6030/R.2016.005
    摘要619)      PDF (3915KB)(868)   
    Objective: To evaluate the clinical results of repairing skull defects with biomimetic bone (nano-hap/collagen composites, NHACs) in children. Methods: Thirteen children with skull defects were treated with NHACs in our hospital. The NHACs molded with the help of a 3D printer were used in the operations. Results: All 13 operations were successful, and patients recovered without infection. Only one patient suffered from subcutaneous hydrops post-operation. The implanted NHACs remained fixed well after 1 year, and their CT HU values raised gradually. Skull shapes of children developed normally. Recovery of neurological and cognitive function was significant. Conclusions: NHAC, chosen to repair skull defects in children, can coexist with normal skull and reduce the negative effects on growth and development. NHAC could be a good choice for children with skull defects.
    图表 | 参考文献 | 相关文章 | 多维度评价
    17. Differentiated cells derived from fetal neural stem cells improve motor deficits in a rat model of Parkinson's disease
    Wei Wang, Hao Song, Aifang Shen, Chao Chen, Yanming Liu, Yabing Dong, Fabin Han
    临床转化神经科学    2015, 1 (2): 75-85.   DOI: 10.18679/CN11-6030/R.2015.009
    摘要671)      PDF (39299KB)(1698)   
    Objective: Parkinson's disease (PD), which is one of the most common neurodegenerative disorders, is characterized by the loss of dopamine (DA) neurons in the substantia nigra in the midbrain. Experimental and clinical studies have shown that fetal neural stem cells (NSCs) have therapeutic effects in neurological disorders. The aim of this study was to examine whether cells that were differentiated from NSCs had therapeutic effects in a rat model of PD. Methods: NSCs were isolated from 14-week-old embryos and induced to differentiate into neurons, DA neurons, and glial cells, and these cells were characterized by their expression of the following markers:βⅢ-tubulin and microtubule-associated protein 2 (neurons), tyrosine hydroxylase (DA neurons), and glial fibrillary acidic protein (glial cells). After a 6-hydroxydopamine (6-OHDA)-lesioned rat model of PD was generated, the differentiated cells were transplanted into the striata of the 6-OHDAlesioned PD rats. Results: The motor behaviors of the PD rats were assessed by the number of apomorphine-induced rotation turns. The results showed that the NSCs differentiated in vitro into neurons and DA neurons with high efficiencies. After transplantation into the striata of the PD rats, the differentiated cells significantly improved the motor deficits of the transplanted PD rats compared to those of the control nontransplanted PD rats by decreasing the apomorphine-induced turn cycles as early as 4 weeks after transplantation. Immunofluorescence analyses showed that the differentiated DA neurons survived more than 16 weeks. Conclusions: Our results showed that cells that were differentiated from NSCs had therapeutic effects in a rat PD model, which suggests that differentiated cells may be an effective treatment for patients with PD.
    图表 | 参考文献 | 相关文章 | 多维度评价
    18. Rare bilateral C3 cervical spondylolysis:Report of four cases and a literature review
    Huaiyu Tong, Hongzhen Jiang, Xinguang Yu, Yuanzheng Zhang
    临床转化神经科学    2015, 1 (2): 92-96.   DOI: 10.18679/CN11-6030/R.2015.011
    摘要371)      PDF (14296KB)(201)   
    Objective: To review and discuss the etiology, diagnosis and treatment C3 of bilateral cervical spondylolysis. Methods: This was a retrospective review of the clinical features, imaginge findings, and treatment of 4 cases of bilateral C3 cervical spondylolysis, with a review of the literature. Results: A 21-year-old woman, a 26-year-old man, a 14-year-old boy, and a 46-year-old man were diagnosed with bilateral C3 cervical spondylolysis. The patients had characteristic bilateral clefts between the articular pillar and the facets of C3, as well as spina bifida on CT. Although spondylolisthesis was not observed, spinal cord compression was definitive. All patients underwent posterior decompression with satisfactory results. Conclusions: C3 cervical spondylolysis is rare condition. The cause is most likely congenital. Diagnosis is dependent on characteristic radiological features. Surgical treatment is the first choice.
    图表 | 参考文献 | 相关文章 | 多维度评价
    19. Controlled release of nerve growth factor and basic fibroblast growth factor combined with small-gap anastomosis enhances sciatic nerve regeneration
    Xiyuan Wang, Lin Chen, Huancong Zuo, Huagang Liu, Liu Ji, Shanker Sharma Hari, Sharma Aruna, Qiang Ao
    临床转化神经科学    2015, 1 (1): 25-30.   DOI: 10.18679/CN11-6030/R.2015.005
    摘要593)      PDF (3875KB)(844)   
    Objectives: Nerve regeneration after peripheral nerve injury is a slow process with a limited degree of functional recovery, resulting in a high disability rate. Thus, accelerating the rate of nerve regeneration and improving the degree of nerve repair is a clinical challenge. This study aimed to investigate the role of growth factor gel combined with small-gap nerve anastomosis in the regeneration of sciatic nerve injury in rats. This was achieved by injecting nerve growth factor (NGF) and basic fibroblast growth factor (bFGF) gel into a silicon chamber that bridged the transection of the nerve.
    Methods: In 27 randomly chosen Sprague Dawley rats, a sharp blade was used to transect the right hind leg sciatic nerve. The rats were divided into 3 groups: in groups A and B, silicon tubes containing NGF and bFGF gel or saline, respectively, were used to bridge the nerve proximal and distal ends (3-mm gap), and in group C, the nerve proximal and distal ends were directly sutured. Eight weeks after surgery, the sciatic nerve function index, neural electrophysiology, and muscle wet weight as well as histological, ultrastructural, and immunohistochemical parameters were evaluated.
    Results: The sciatic nerve function index, nerve conduction velocity, muscle wet weight, density of regenerated nerve fibers, and myelination in group A were better than those in group B or C, but the sciatic nerve function index, muscle wet weight, and thickness of myelination in the 3 groups were not significantly different (P > 0.05). There were no significant differences innerve conduction velocity between groups A and B (P > 0.05), but it was higher in both groups than that of group C (P < 0.05). The regenerated nerve fiber density in the 3 groups showed significant differences (P < 0.05).
    Conclusions: Small-gap nerve anastomosis can provide a good regenerative microenvironment for rat sciatic nerve regeneration, and the combined strategy of growth factor gel with small-gap nerve anastomosis appears to have a superior effect on nerve repair.
    图表 | 参考文献 | 相关文章 | 多维度评价
    20. Remote multi-wave radioneuroengineering: An innovative technology for non-contact radio restoration of damaged nervous tissue of the human brain and spinal cord
    Andrey S. Bryukhovetskiy, Igor S. Bryukhovetskiy
    临床转化神经科学    2015, 1 (1): 31-59.   DOI: 10.18679/CN11-6030/R.2015.006
    摘要460)      PDF (19198KB)(194)   
    Objectives: Objectives: Significant advances in neurosciences will result from research focused on the non-contact treatment of the nervous tissue (NT). The objective of the article is to describe a novel non-contact method of restoration of damaged NT of the human brain and spinal cord that was termed multi-wave neuro-bioengineering.
    Methods: The method includes a purposeful complex program of different therapeutic ionizing and non-ionizing electromagnetic radiation effects on the damaged NT, which is approved for clinical practice. Exposure of the human brain to a stepwise algorithmized combination of different ionizing and non-ionizing radiations and simultaneous application of various types of electromagnetic radiation at the specific site of restoration considerably reduce the adverse effects of all types of radiation on NT.
    Results: The technology for non-contact restoration of the injured tissue of brain or spinal cord was appiled in 30 cases of neurological disorders using the stereotaxic system, structural resonance therapy, radiotherapy and focused ultrasound. The applied methods are approved for humans and theorem programmed combination opens new perspective for the treatment of brain and spinal cord disorders.
    Conclusions: The approach provides quick restoration of the disordered function of damaged brain tissue and establishes a new paradigm of radio non-contact neurorestoration of the brain and spinal cord.
    图表 | 参考文献 | 相关文章 | 多维度评价
  编辑部公告 More  
» 2016 Chinese Advanced Simposium of Precise and Minimally Invasive Spine Surgery, 19-20 March 2016, Fu Zhou, China
  2016-03-18
» Autophagy Translational Medicine & Disease Conference December 17-18, 2015, Shang Hai, China
  2015-12-08



  友情链接 More  


版权所有 © 《临床转化神经科学》编辑部


本系统由北京玛格泰克科技发展有限公司设计开发 技术支持:support@magtech.com.cn