Please wait a minute...
 首页  About Journal Qun Xue Subscription Contact us English
 
最新录用  |  当期目录  |  过刊浏览  |  热点文章  |  阅读排行  |  下载排行  |  引用排行
临床转化神经科学  2017, Vol. 3 Issue (1): 16-27    DOI: 10.18679/CN11-6030/R.2017.003
  本期目录 | 过刊浏览 | 高级检索 |
Factors affecting the prognosis of children with medulloblastoma: A single institution retrospective analysis of 40 cases
Jianzhong Yu, We Shi, Hao Li
Department of Neurosurgery, Children's Hospital of Fudan University, Shanghai 201102, China
Factors affecting the prognosis of children with medulloblastoma: A single institution retrospective analysis of 40 cases
Jianzhong Yu, We Shi, Hao Li
Department of Neurosurgery, Children's Hospital of Fudan University, Shanghai 201102, China
下载:  PDF (2596KB) 
输出:  BibTeX | EndNote (RIS)      
摘要 Few studies have investigated the factors associated with the prognosis of children with medulloblastoma. This retrospective observational study evaluated the association of molecular subtype, clinical characteristics, and pathological types with the outcomes of children with medulloblastoma. This study included 40 patients with medulloblastoma who underwent surgical resection at the Affiliated Children's Hospital of Fudan University between January 2004 and June 2014. The primary outcome was overall survival (OS). Risk factors associated with survival, disease progression, and recurrence were analyzed by univariate Cox regression analysis; the identified significant risk factors were further analyzed by Kaplan-Meier survival curves. Immunohistochemistry analysis of Yes-associated protein 1 (YAP1) and GRB2-associated protein 1 (GAB1) was used for medulloblastoma subtype identification; 20% of tumors were the WNT subtype, and 32.5% were the SHH subtype, with the remainder being non-SHH/WNT. Factors associated with OS included M stage, calcification, cerebrospinal fluid fistula, postoperative treatment (radiotherapy, chemotherapy, or both), postoperative Karnofsky Performance Scale score, and molecular subtype (P < 0.044). Patients with the WNT subtype had better survival outcomes (hazard ratio [HR] = 0.16, 95% confidence interval [CI]: 0.05–0.58). Number of symptoms, M stage, and postoperative radiotherapy were associated with disease progression (P ≤ 0.033). The risk of recurrence increased with advanced M stage (HR = 30.71; 95% CI: 3.92–240.44, P = 0.001). Patients receiving both chemotherapy and radiotherapy were less likely to have a recurrence (P = 0.040). Molecular subtyping of medulloblastoma was more predictive of survival than histopathology in patients undergoing adjuvant therapy.
服务
把本文推荐给朋友
加入引用管理器
E-mail Alert
RSS
作者相关文章
Jianzhong Yu
We Shi
Hao Li
关键词:  child  medulloblastoma  clinical factors  molecular phenotype  overall survival time  prognosis    
Abstract: Few studies have investigated the factors associated with the prognosis of children with medulloblastoma. This retrospective observational study evaluated the association of molecular subtype, clinical characteristics, and pathological types with the outcomes of children with medulloblastoma. This study included 40 patients with medulloblastoma who underwent surgical resection at the Affiliated Children's Hospital of Fudan University between January 2004 and June 2014. The primary outcome was overall survival (OS). Risk factors associated with survival, disease progression, and recurrence were analyzed by univariate Cox regression analysis; the identified significant risk factors were further analyzed by Kaplan-Meier survival curves. Immunohistochemistry analysis of Yes-associated protein 1 (YAP1) and GRB2-associated protein 1 (GAB1) was used for medulloblastoma subtype identification; 20% of tumors were the WNT subtype, and 32.5% were the SHH subtype, with the remainder being non-SHH/WNT. Factors associated with OS included M stage, calcification, cerebrospinal fluid fistula, postoperative treatment (radiotherapy, chemotherapy, or both), postoperative Karnofsky Performance Scale score, and molecular subtype (P < 0.044). Patients with the WNT subtype had better survival outcomes (hazard ratio [HR] = 0.16, 95% confidence interval [CI]: 0.05–0.58). Number of symptoms, M stage, and postoperative radiotherapy were associated with disease progression (P ≤ 0.033). The risk of recurrence increased with advanced M stage (HR = 30.71; 95% CI: 3.92–240.44, P = 0.001). Patients receiving both chemotherapy and radiotherapy were less likely to have a recurrence (P = 0.040). Molecular subtyping of medulloblastoma was more predictive of survival than histopathology in patients undergoing adjuvant therapy.
Key words:  child    medulloblastoma    clinical factors    molecular phenotype    overall survival time    prognosis
收稿日期:  2017-02-01      修回日期:  2017-02-25           出版日期:  2017-03-31      发布日期:  2017-03-31      期的出版日期:  2017-03-31
通讯作者:  Hao Li, E-mail: lihao7272@163.com    E-mail:  lihao7272@163.com
引用本文:    
Jianzhong Yu, We Shi, Hao Li. Factors affecting the prognosis of children with medulloblastoma: A single institution retrospective analysis of 40 cases[J]. 临床转化神经科学, 2017, 3(1): 16-27.
Jianzhong Yu, We Shi, Hao Li. Factors affecting the prognosis of children with medulloblastoma: A single institution retrospective analysis of 40 cases. Translational Neuroscience and Clinics, 2017, 3(1): 16-27.
链接本文:  
http://tnc.tsinghuajournals.com/CN/10.18679/CN11-6030/R.2017.003  或          http://tnc.tsinghuajournals.com/CN/Y2017/V3/I1/16
20170512093758  Table 1 Characteristics of the patients with medulloblastoma (n = 40).
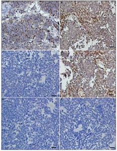
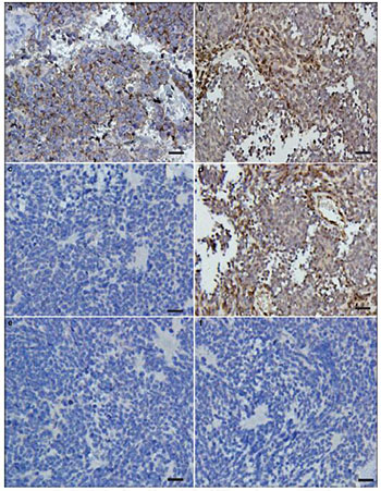
20170512093838  Figure 1 Immunohistochemical analysis of YAP and GAB1 to identify medulloblastoma subtypes. (a, b) The SHH subtype was positive for both (a) YAP1 and (b) GAB1. (c, d) The WNT subtype was positive for YAP1 and negative for GAB1. (e, f) The non-SHH/WNT subtype was negative for both YAP1 and GAB1. Magnification, 400×; scale bar, 50 μm.
20170512093852  Table 2 Univariate Cox proportional hazard analysis of factors associated with poor survival.
20170512093933  Figure 2 Kaplan-Meier curves of overall survival according to (a) M stage, (b) calcification, (c) cerebral fluid fistula, (d) postoperative radiotherapy, (e) postoperative chemotherapy, (f) postoperative adjuvant therapy, (g) postoperative KPS score, (h) molecular subtype. The log-rank test was used to test the survival status between groups.
20170512093942  Table 3 Univariate Cox proportional hazard analysis of factors associated with disease progression.
20170512093956  Table 4 Univariate Cox proportional hazard analysis of factors associated with medulloblastoma recurrence.
[1] Bartlett F, Kortmann R, Saran F. Medulloblastoma. Clin Oncol 2013, 25(1): 36-45.
[2] Gerber NU, Mynarek M, von Hoff K, Friedrich C, Resch A, Rutkowski S. Recent developments and current concepts in medulloblastoma. Cancer Treat Rev 2014, 40(3): 356-365.
[3] Padovani L, Sunyach MP, Perol D, Mercier C, Alapetite C, Haie-Meder C, Hoffstetter S, Muracciole X, Kerr C, Wagner JP, et al. Common strategy for adult and pediatric medulloblastoma: A multicenter series of 253 adults. Int J Radiat Oncol Biol Phys 2007, 68(2): 433-440.
[4] Rieken S, Mohr A, Habermehl D, Welzel T, Lindel K, Witt O, Kulozik AE, Wick W, Debus J, Combs SE. Outcome and prognostic factors of radiation therapy for medulloblastoma. Int J Radiat Oncol Biol Phys 2011, 81(3): e7-e13.
[5] Pfister S, Remke M, Benner A, Mendrzyk F, Toedt G, Felsberg J, Wittmann A, Devens F, Gerber NU, Joos S, et al. Outcome prediction in pediatric medulloblastoma based on DNA copy-number aberrations of chromosomes 6q and 17q and the MYC and MYCN loci. J Clin Oncol 2009, 27(10): 1627-1636.
[6] Pfister SM, Korshunov A, Kool M, Hasselblatt M, Eberhart C, Taylor MD. Molecular diagnostics of CNS embryonal tumors. Acta Neuropathol 2010, 120(5): 553-566.
[7] Ellison DW, Dalton J, Kocak M, Nicholson SL, Fraga C, Neale G, Kenney AM, Brat DJ, Perry A, Yong WH, et al. Medulloblastoma: Clinicopathological correlates of SHH, WNT, and non-SHH/WNT molecular subgroups. Acta Neuropathol 2011, 121(3): 381-396.
[8] Kool M, Korshunov A, Remke M, Jones DTW, Schlanstein M, Northcott PA, Cho YJ, Koster J, Schouten-van Meeteren A, van Vuurden D, et al. Molecular subgroups of medulloblastoma: An international meta-analysis of transcriptome, genetic aberrations, and clinical data of WNT, SHH, Group 3, and Group 4 medulloblastomas. Acta Neuropathol 2012, 123(4): 473-484.
[9] Mamanova L, Coffey AJ, Scott CE, Kozarewa I, Turner EH, Kumar A, Howard E, Shendure J, Turner DJ. Targetenrichment strategies for next-generation sequencing. Nat Methods 2010, 7(2): 111-118.
[10] Zhang ZY, Xu J, Ren Y, Yao Y, Li KKW, Ng HK, Mao Y, Zhou LF, Zhong P. Medulloblastoma in China: Clinicopathologic analyses of SHH, WNT, and non-SHH/WNT molecular subgroups reveal different therapeutic responses to adjuvant chemotherapy. PLoS One 2014, 9(6): e99490.
[11] Wilson M, Gill SK, MacPherson L, English M, Arvanitis TN, Peet AC. Noninvasive detection of glutamate predicts survival in pediatric medulloblastoma. Clin Cancer Res 2014, 20(17): 4532-4539.
[12] Pietsch T, Schmidt R, Remke M, Korshunov A, Hovestadt V, Jones DTW, Felsberg J, Kaulich K, Goschzik T, Kool M, et al. Prognostic significance of clinical, histopathological, and molecular characteristics of medulloblastomas in the prospective HIT2000 multicenter clinical trial cohort. Acta Neuropathol 2014, 128(1): 137-149.
[13] Northcott PA, Korshunov A, Witt H, Hielscher T, Eberhart CG, Mack S, Bouffet E, Clifford SC, Hawkins CE, French P, et al. Medulloblastoma comprises four distinct molecular variants. J Clin Oncol 2011, 29(11): 1408-1414.
[14] Kiltie AE, Lashford LS, Gattamaneni HR. Survival and late effects in medulloblastoma patients treated with craniospinal irradiation under three years old. Med Pediatr Oncol 1997, 28(5): 348-354.
[15] Rutkowski S, von Hoff K, Emser A, Zwiener I, Pietsch T, Figarella-Branger D, Giangaspero F, Ellison DW, Garre ML, Biassoni V, et al. Survival and prognostic factors of early childhood medulloblastoma: An international meta-analysis. J Clin Oncol 2010, 28(33): 4961-4968.
[16] Khafaga Y, Kandil AE, Jamshed A, Hassounah M, DeVol E, Gray AJ. Treatment results for 149 medulloblastoma patients from one institution. Int J Radiat Oncol Biol Phys 1996, 35(3): 501-506.
[17] Zeltzer PM, Boyett JM, Finlay JL, Albright AL, Rorke LB, Milstein JM, Allen JC, Stevens KR, Stanley P, Li H, et al. Metastasis stage, adjuvant treatment, and residual tumor are prognostic factors for medulloblastoma in children: Conclusions from the Children's Cancer Group 921 randomized phase III study. J Clin Oncol 1999, 17(3): 832-845.
[18] Pogorzala M, Styczynski J, Wysocki M. Survival and prognostic factors in children with brain tumors: Long-term follow-up single center study in Poland. Anticancer Res 2014, 34(1): 323-326.
[19] Modha A, Vassilyadi M, George A, Kuehn S, Hsu E, Ventureyra ECG. Medulloblastoma in children—The Ottawa experience. Childs Nerv Syst 2000, 16(6): 341-350.
[20] Kaur K, Kakkar A, Kumar A, Mallick S, Julka PK, Gupta D, Suri A, Suri V, Sharma MC, Sarkar C. Integrating molecular subclassification of medulloblastomas into routine clinical practice: A simplified approach. Brain Pathol 2016, 26(3): 334-343.
[1] Wenbin Ding, Shaocheng Zhang, Zhuo Wang, Lin Chen, Chuansen Zhang, Ping Huang, Shunfa Liu, Laiqing Sun, Yuhai Ma, Jun Yang, Fei Huang, Chengjing Xue, Yanxue Zhong, Lei Yin, Yongtai Pan, Dajiang Wu. Using nerve segment insert grafting to reconstruct neural pathways of brain-derived paralysis[J]. 临床转化神经科学, 2017, 3(4): 188-195.
[2] Yuyuan Wang, Kay Kawai Li, Ji Xiong, Zhenyu Zhang, Yang Wang, Jian Xu, Yin Wang, Hokeung Ng, Ping Zhong. Differences in the prognostic value of tumor extent of resection among the molecular subgroups of medulloblastoma:A single centre study of 113 cases[J]. 临床转化神经科学, 2017, 3(2): 66-73.
[3] Yapeng Zhao, Hongyu Duan, Qinghui Zhang, Bingxin Shi, Hui Liang, Yuqi Zhang. Malignant transformation and treatment of cystic mixed germ cell tumor[J]. 临床转化神经科学, 2016, 2(1): 25-30.
[4] Tuoyu Chen, Yuqi Zhang, Huancong Zuo, Yapeng Zhao, Chaoqiang Xue, Bin Luo, Qinglin Zhang, Jin Zhu, Xiumei Wang, Fuzhai Cui. Repairing skull defects in children with nano-hap/collagen composites: A clinical report of thirteen cases[J]. 临床转化神经科学, 2016, 2(1): 31-37.
[5] Tao Jiang, Jin Zhu, Jing Dong, Junmei Wang, Jiang Du, Chunde Li, Yuqi Zhang. Clinical outcomes of adult medulloblastoma: A retrospective analysis at a single institute[J]. 临床转化神经科学, 2015, 1(1): 17-24.
[1] Bin WU, Jing ZHENG, Qing-tao TIAN, Zhi-qiang ZOU, Xu-hua YU, Kai-shuan ZHANG. Tribology of rotating band and gun barrel during engraving process under quasi-static and dynamic loading[J]. Friction, 2014, 2(4): 330 -342 .
[2] Bin WU, Jing ZHENG, Qing-tao TIAN, Zhi-qiang ZOU, Xu-hua YU, Kai-shuan ZHANG. Tribology of rotating band and gun barrel during engraving process under quasi-static and dynamic loading[J]. Friction, 2014, 2(4): 330 -342 .
[3] Bin WU, Jing ZHENG, Qing-tao TIAN, Zhi-qiang ZOU, Xu-hua YU, Kai-shuan ZHANG. Tribology of rotating band and gun barrel during engraving process under quasi-static and dynamic loading[J]. Friction, 2014, 2(4): 330 -342 .
[4] Geng Zhang, Yinghua Chen. Monoclonal Antibodies Recognizing HIV-1 gp41 Could Inhibit Env-Mediated Syncytium Formation[J]. Tsinghua Science and Technology, 2005, 10(4): 512 -516 .
[5] Geng Zhang, Yinghua Chen. Monoclonal Antibodies Recognizing HIV-1 gp41 Could Inhibit Env-Mediated Syncytium Formation[J]. Tsinghua Science and Technology, 2005, 10(4): 512 -516 .
[6] Geng Zhang, Yinghua Chen. Monoclonal Antibodies Recognizing HIV-1 gp41 Could Inhibit Env-Mediated Syncytium Formation[J]. Tsinghua Science and Technology, 2005, 10(4): 512 -516 .
[7] Zhao Muwei,Zhong Wei,He Jieyue. PBNA: An Improved Probabilistic Biological Network Alignment Method[J]. Tsinghua Science and Technology, 2014, 19(6): 658 -667 .
[8] Zhao Muwei,Zhong Wei,He Jieyue. PBNA: An Improved Probabilistic Biological Network Alignment Method[J]. Tsinghua Science and Technology, 2014, 19(6): 658 -667 .
[9] Zhao Muwei,Zhong Wei,He Jieyue. PBNA: An Improved Probabilistic Biological Network Alignment Method[J]. Tsinghua Science and Technology, 2014, 19(6): 658 -667 .
[10] Yu Shen, Qing Xia, Chongqing Kang. Dispatch Liquidity Theory in a Deregulated Environment[J]. Tsinghua Science and Technology, 2005, 10(2): 240 -246 .
Viewed
Full text


Abstract

Cited

  Shared   
  Discussed   
版权所有 © 《临床转化神经科学》编辑部


本系统由北京玛格泰克科技发展有限公司设计开发 技术支持:support@magtech.com.cn