Please wait a minute...
 首页  About Journal Qun Xue Subscription Contact us English
 
最新录用  |  当期目录  |  过刊浏览  |  热点文章  |  阅读排行  |  下载排行  |  引用排行
临床转化神经科学  2015, Vol. 1 Issue (1): 25-30    DOI: 10.18679/CN11-6030/R.2015.005
  本期目录 | 过刊浏览 | 高级检索 |
Controlled release of nerve growth factor and basic fibroblast growth factor combined with small-gap anastomosis enhances sciatic nerve regeneration
Xiyuan Wang1, Lin Chen2, Huancong Zuo2, Huagang Liu2, Liu Ji2, Shanker Sharma Hari3, Sharma Aruna3, Qiang Ao1,2
1 Department of Tissue Engineering, China Medical University, Shen Yang 110122, China;
2 Department of Neurosurgery, Tsinghua University Yuquan Hospital, Beijing 100040, China;
3 Laboratory of Cerebrovascular Research, Department of Surgical Sciences Anaesthesiology and Intensive Care Medicine, Uppsala University Hospital, Uppsala University, Se-75185 Uppsala, Sweden
Controlled release of nerve growth factor and basic fibroblast growth factor combined with small-gap anastomosis enhances sciatic nerve regeneration
Xiyuan Wang1, Lin Chen2, Huancong Zuo2, Huagang Liu2, Liu Ji2, Shanker Sharma Hari3, Sharma Aruna3, Qiang Ao1,2
1 Department of Tissue Engineering, China Medical University, Shen Yang 110122, China;
2 Department of Neurosurgery, Tsinghua University Yuquan Hospital, Beijing 100040, China;
3 Laboratory of Cerebrovascular Research, Department of Surgical Sciences Anaesthesiology and Intensive Care Medicine, Uppsala University Hospital, Uppsala University, Se-75185 Uppsala, Sweden
下载:  PDF (3875KB) 
输出:  BibTeX | EndNote (RIS)      
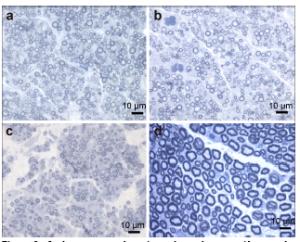
摘要 Objectives: Nerve regeneration after peripheral nerve injury is a slow process with a limited degree of functional recovery, resulting in a high disability rate. Thus, accelerating the rate of nerve regeneration and improving the degree of nerve repair is a clinical challenge. This study aimed to investigate the role of growth factor gel combined with small-gap nerve anastomosis in the regeneration of sciatic nerve injury in rats. This was achieved by injecting nerve growth factor (NGF) and basic fibroblast growth factor (bFGF) gel into a silicon chamber that bridged the transection of the nerve.
Methods: In 27 randomly chosen Sprague Dawley rats, a sharp blade was used to transect the right hind leg sciatic nerve. The rats were divided into 3 groups: in groups A and B, silicon tubes containing NGF and bFGF gel or saline, respectively, were used to bridge the nerve proximal and distal ends (3-mm gap), and in group C, the nerve proximal and distal ends were directly sutured. Eight weeks after surgery, the sciatic nerve function index, neural electrophysiology, and muscle wet weight as well as histological, ultrastructural, and immunohistochemical parameters were evaluated.
Results: The sciatic nerve function index, nerve conduction velocity, muscle wet weight, density of regenerated nerve fibers, and myelination in group A were better than those in group B or C, but the sciatic nerve function index, muscle wet weight, and thickness of myelination in the 3 groups were not significantly different (P > 0.05). There were no significant differences innerve conduction velocity between groups A and B (P > 0.05), but it was higher in both groups than that of group C (P < 0.05). The regenerated nerve fiber density in the 3 groups showed significant differences (P < 0.05).
Conclusions: Small-gap nerve anastomosis can provide a good regenerative microenvironment for rat sciatic nerve regeneration, and the combined strategy of growth factor gel with small-gap nerve anastomosis appears to have a superior effect on nerve repair.
服务
把本文推荐给朋友
加入引用管理器
E-mail Alert
RSS
作者相关文章
Xiyuan Wang
Lin Chen
Huancong Zuo
Huagang Liu
Liu Ji
Shanker Sharma Hari
Sharma Aruna
Qiang Ao
关键词:  peripheral nerve injury  nerveanastomosis  growth factor  controlled release    
Abstract: Objectives: Nerve regeneration after peripheral nerve injury is a slow process with a limited degree of functional recovery, resulting in a high disability rate. Thus, accelerating the rate of nerve regeneration and improving the degree of nerve repair is a clinical challenge. This study aimed to investigate the role of growth factor gel combined with small-gap nerve anastomosis in the regeneration of sciatic nerve injury in rats. This was achieved by injecting nerve growth factor (NGF) and basic fibroblast growth factor (bFGF) gel into a silicon chamber that bridged the transection of the nerve.
Methods: In 27 randomly chosen Sprague Dawley rats, a sharp blade was used to transect the right hind leg sciatic nerve. The rats were divided into 3 groups: in groups A and B, silicon tubes containing NGF and bFGF gel or saline, respectively, were used to bridge the nerve proximal and distal ends (3-mm gap), and in group C, the nerve proximal and distal ends were directly sutured. Eight weeks after surgery, the sciatic nerve function index, neural electrophysiology, and muscle wet weight as well as histological, ultrastructural, and immunohistochemical parameters were evaluated.
Results: The sciatic nerve function index, nerve conduction velocity, muscle wet weight, density of regenerated nerve fibers, and myelination in group A were better than those in group B or C, but the sciatic nerve function index, muscle wet weight, and thickness of myelination in the 3 groups were not significantly different (P > 0.05). There were no significant differences innerve conduction velocity between groups A and B (P > 0.05), but it was higher in both groups than that of group C (P < 0.05). The regenerated nerve fiber density in the 3 groups showed significant differences (P < 0.05).
Conclusions: Small-gap nerve anastomosis can provide a good regenerative microenvironment for rat sciatic nerve regeneration, and the combined strategy of growth factor gel with small-gap nerve anastomosis appears to have a superior effect on nerve repair.
Key words:  peripheral nerve injury    nerveanastomosis    growth factor    controlled release
收稿日期:  2015-03-20      修回日期:  2015-05-29           出版日期:  2015-09-01      发布日期:  2015-09-01      期的出版日期:  2015-09-01
   
基金资助: This work was supported by the National High Technology Research and Development Program of China (863 Program, No. 2012AA020905), and the Chow Tai Fook Medical Research Special Fund (No. 202836019-03).
通讯作者:  Qiang Ao, E-mail: aoqiang@tsinghua.edu.cn;Lin Chen, E-mail: chenlin_china@163.com    E-mail:  aoqiang@tsinghua.edu.cn;chenlin_china@163.com
引用本文:    
Xiyuan Wang, Lin Chen, Huancong Zuo, Huagang Liu, Liu Ji, Shanker Sharma Hari, Sharma Aruna, Qiang Ao. Controlled release of nerve growth factor and basic fibroblast growth factor combined with small-gap anastomosis enhances sciatic nerve regeneration[J]. 临床转化神经科学, 2015, 1(1): 25-30.
Xiyuan Wang, Lin Chen, Huancong Zuo, Huagang Liu, Liu Ji, Shanker Sharma Hari, Sharma Aruna, Qiang Ao. Controlled release of nerve growth factor and basic fibroblast growth factor combined with small-gap anastomosis enhances sciatic nerve regeneration. Translational Neuroscience and Clinics, 2015, 1(1): 25-30.
链接本文:  
http://tnc.tsinghuajournals.com/CN/10.18679/CN11-6030/R.2015.005  或          http://tnc.tsinghuajournals.com/CN/Y2015/V1/I1/25
20151111170012  
20151111170049  
20151111170305  
20151111170413  
[1] Catrina S, Gander B, Madduri S. Nerve conduit scaffolds for discrete delivery of two neurotrophic factors. Eur J Pharm Biopharm 2013, 85(1): 139-142.
[2] Zhang ZJ, Kou YH, Yin XF, Wang YH, Zhang PX, Jiang BG. The effect of a small gap sleeve suture at the distal anastomosis of a nerve graft on promoting nerve regeneration and functional recovery. Artif Cells Nanomed Biotechnol 2013, 41(4): 282-288.
[3] Meek MF, Den Dunnen WFA, Schakenraad JM, Robinson PH. Long-term evaluation of functional nerve recovery after reconstruction with a thin-walled biodegradable poly (DLlactide-epsilon-caprolactone) nerve guide, using walking track analysis and electrostimulation tests. Microsurgery 1999, 19(5): 247-253.
[4] Butí M, Verdú E, Labrador RO, Vilches JJ, Forés J, NavarroX. Influence of physical parameters of nerve chambers on peripheral nerve regeneration and reinnervation. Exp Neurol 1996, 137(1): 26-33.
[5] Zhao LG, Yao KD. Advances in nerve regeneration through nerve conduit. BME & Clin Med 2003, 7(2): 120-123. (in Chinese)
[6] Lundborg G. Nerve regenration and repair. A review. Acta Orthop Scand 1987, 58(2): 145-169.
[7] Song XZ, Gu YD, Xu JG, Li JF. Comparison of suture and conduit nerve repair in different alignment situation. Chin J Hand Surg 1998, 14(4): 250-251. (in Chinese)
[8] Ahmed TAE, Dare EV, Hincke M. Fibrin: A versatile scaffold for tissue engineering applications. Tissue Eng Part B 2008, 14(2): 199-215.
[9] Ishii I, Mizuta H, Sei A, Hirose J, Kudo S, Hiraki Y. Healing of full-thickness defects of the articular cartilage in rabbits using fibroblast growth factor-2 and a fibrin sealant. J Bone Joint Surg Br 2007, 89(5): 693-700.
[10] Jeon O, Ryu SH, Chung JH, Kim SB. Control of basic fibroblast growth factor release from fibrin gel with heparin and concentrations of fibrinogen and thrombin. J Control Release 2005, 105(3): 249-259.
[11] Ho YC, Mi FL, Sung HW, Kuo PL. Heparin-functionalized chitosan-alginate scaffolds for controlled release of growth factor. Int J Pharm 2009, 376(1-2): 69-75.
[12] Tanihara M, Suzuki Y, Yamamoto E, Noguchi A, Mizushima Y. Sustained release of basic fibroblast growth factor and angiogenesis in a novel covalently crosslinked gel of heparin and alginate. Biomed Mater Res 2001, 56(2): 216-221.
[1] Min Wei, Lun Dong, Hengzhu Zhang, Zhenfei Teng, Xiaodong Wang, Zhengcun Yan, Lei She, Yuping Li, Xingdong Wang. Review of insulin-like growth factor 1 signaling pathway and its role in protection against brain diseases[J]. 临床转化神经科学, 2017, 3(4): 237-245.
[2] Chuanqiang Qu, Yuanyuan Zhao, Qinjian Sun, Yifeng Du. Generation of genetically modified olfactory ensheathing cells that secrete VEGF:Potential application in cell-based treatment of leukoaraiosis[J]. 临床转化神经科学, 2017, 3(2): 104-110.
[1] Bangyong Keum, Yijun Liu. Analysis of 3-D Frictional Contact Mechanics Problems by a Boundary Element Method[J]. Tsinghua Science and Technology, 2005, 10(1): 16 -29 .
[2] Bangyong Keum, Yijun Liu. Analysis of 3-D Frictional Contact Mechanics Problems by a Boundary Element Method[J]. Tsinghua Science and Technology, 2005, 10(1): 16 -29 .
[3] Bangyong Keum, Yijun Liu. Analysis of 3-D Frictional Contact Mechanics Problems by a Boundary Element Method[J]. Tsinghua Science and Technology, 2005, 10(1): 16 -29 .
[4] Meng Junping,Dong Shoubin,Tang Liqun,Jiang Yi. A Hybrid Mathematical Model of Tumor-Induced Angiogenesis with Blood Perfusion[J]. Tsinghua Science and Technology, 2014, 19(6): 648 -657 .
[5] Meng Junping,Dong Shoubin,Tang Liqun,Jiang Yi. A Hybrid Mathematical Model of Tumor-Induced Angiogenesis with Blood Perfusion[J]. Tsinghua Science and Technology, 2014, 19(6): 648 -657 .
[6] Meng Junping,Dong Shoubin,Tang Liqun,Jiang Yi. A Hybrid Mathematical Model of Tumor-Induced Angiogenesis with Blood Perfusion[J]. Tsinghua Science and Technology, 2014, 19(6): 648 -657 .
[7] Jing Xi, Yuan Gao, Lijun Kong, Yandao Gong, Nanming Zhao, Xiufang Zhang. Behavior of MC3T3-E1 Osteoblast Cultured on Chitosan Modified with Polyvinylpyrrolidone[J]. Tsinghua Science and Technology, 2005, 10(4): 439 -444 .
[8] Jing Xi, Yuan Gao, Lijun Kong, Yandao Gong, Nanming Zhao, Xiufang Zhang. Behavior of MC3T3-E1 Osteoblast Cultured on Chitosan Modified with Polyvinylpyrrolidone[J]. Tsinghua Science and Technology, 2005, 10(4): 439 -444 .
[9] Jing Xi, Yuan Gao, Lijun Kong, Yandao Gong, Nanming Zhao, Xiufang Zhang. Behavior of MC3T3-E1 Osteoblast Cultured on Chitosan Modified with Polyvinylpyrrolidone[J]. Tsinghua Science and Technology, 2005, 10(4): 439 -444 .
[10] Kang Chen, Meiming Shen, Weimin Zheng. Resources Allocation Schemas for Web Information Monitoring[J]. Tsinghua Science and Technology, 2005, 10(3): 309 -315 .
Viewed
Full text


Abstract

Cited

  Shared   
  Discussed   
版权所有 © 《临床转化神经科学》编辑部


本系统由北京玛格泰克科技发展有限公司设计开发 技术支持:support@magtech.com.cn