Please wait a minute...
 首页  About Journal Qun Xue Subscription Contact us English
 
最新录用  |  当期目录  |  过刊浏览  |  热点文章  |  阅读排行  |  下载排行  |  引用排行
临床转化神经科学  2016, Vol. 2 Issue (1): 59-64    DOI: 10.18679/CN11-6030/R.2016.008
  本期目录 | 过刊浏览 | 高级检索 |
Surgical complications secondary to decompressive craniectomy for patients with severe head trauma
Xiaofeng Yang, Liang Wen
Department of Neurosurgery, First Affiliated Hospital, College of Medicine, Zhejiang University, Zhejiang, China
Surgical complications secondary to decompressive craniectomy for patients with severe head trauma
Xiaofeng Yang, Liang Wen
Department of Neurosurgery, First Affiliated Hospital, College of Medicine, Zhejiang University, Zhejiang, China
下载:  PDF (1569KB) 
输出:  BibTeX | EndNote (RIS)      
摘要 Decompressive craniectomy (DC) is a surgical method for managing highly elevated intracranial increased pressure (ICP) resulted from severe head trauma. This procedure is able to reduce the ICP rapidly and effectively. However, it may lead to kinds of secondary complications, which would cause patient's severe neurological dysfunction or even death. In this paper, we reviewed the literatures about surgical complications secondary to DC, and tried to bring up suggestions on surgical techniques aiming to prevention and treatment of these complications.
服务
把本文推荐给朋友
加入引用管理器
E-mail Alert
RSS
作者相关文章
Xiaofeng Yang
Liang Wen
关键词:  traumatic brain injury  decompressive craniectomy  surgical complications    
Abstract: Decompressive craniectomy (DC) is a surgical method for managing highly elevated intracranial increased pressure (ICP) resulted from severe head trauma. This procedure is able to reduce the ICP rapidly and effectively. However, it may lead to kinds of secondary complications, which would cause patient's severe neurological dysfunction or even death. In this paper, we reviewed the literatures about surgical complications secondary to DC, and tried to bring up suggestions on surgical techniques aiming to prevention and treatment of these complications.
Key words:  traumatic brain injury    decompressive craniectomy    surgical complications
收稿日期:  2016-01-08      修回日期:  2016-02-29           出版日期:  2016-03-31      发布日期:  2016-03-31      期的出版日期:  2016-03-31
通讯作者:  Xiaofeng Yang, E-mail: zjcswk@126.com    E-mail:  zjcswk@126.com
引用本文:    
Xiaofeng Yang, Liang Wen. Surgical complications secondary to decompressive craniectomy for patients with severe head trauma[J]. 临床转化神经科学, 2016, 2(1): 59-64.
Xiaofeng Yang, Liang Wen. Surgical complications secondary to decompressive craniectomy for patients with severe head trauma. Translational Neuroscience and Clinics, 2016, 2(1): 59-64.
链接本文:  
http://tnc.tsinghuajournals.com/CN/10.18679/CN11-6030/R.2016.008  或          http://tnc.tsinghuajournals.com/CN/Y2016/V2/I1/59
20160503094709  
20160503094717  
20160503094723  
20160503094729  
[1] Jiang JY, Xu W, Li WP, Xu WH, Zhang J, Bao YH, Ying YH, Luo QZ. Efficacy of standard trauma craniectomy for refractory intracranial hypertension with severe traumatic brain injury: A multicenter, prospective, randomized controlled study. J Neurotrauma 2005, 22: 623-628.
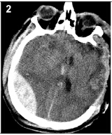
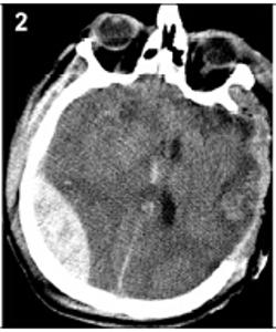
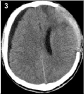
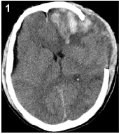
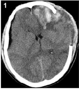
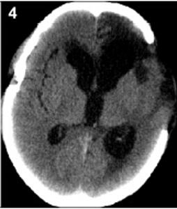
[2] Yang XF, Wen L, Shen F, Li G, Lou R, Liu WG, Zhan RY. Surgical complications secondary to decompressive craniectomy in patients with a head injury: A series of 108 consecutive cases. Acta Neurochir (Wien) 2008, 150(12): 1241-1248.
[3] Stiver SI. Complications of decompressive craniectomy for traumatic brain injury. Neurosurg Focus 2009, 26(6): E7.
[4] Huang X, Wen L. Technical considerations in decompressive craniectomy in the treatment of traumatic brain injury. Int J Med Sci 2010, 7(6): 385-390.
[5] Aarabi B, Hesdorffer DC, Ahn ES, Aresco C, Scalea TM, Eisenberg HM. Outcome following decompressive craniectomy for malignant swelling due to severe head injury. J Neurosurg 2006, 104(4): 469-479.
[6] Guerra WKW, Gaab MR, Dietz H, Mueller JU, Piek J, Fritsch MJ. Surgical decompression for traumatic brain swelling: Indications and results. J Neurosurg 1999, 90(2): 187-196.
[7] Münch E, Horn P, Schürer L, Piepgras A, Paul T, Schmiedek P. Management of severe traumatic brain injury by decompressive craniectomy. Neurosurgery 2000, 47(2): 315-322.
[8] Csókay A, Nagy L, Novoth B. Avoidance of vascular compression in decompressive surgery for brain edema caused by trauma and tumor ablation. Neurosurg Rev 2001, 24(4-6): 209-213.
[9] Csókay A, Együd L, Nagy L, Pataki G. Vascular tunnel creation to improve the efficacy of decompressive craniotomy in post-traumatic cerebral edema and ischemic stroke. Surg Neuro 2002, 57(2): 126-129.
[10] Seifman MA, Lewis PM, Rosenfeld JV, Hwang PYK. Postoperative intracranial haemorrhage: A review. Neurosurg Rev 2011, 34(4): 393-407.
[11] Bullock R, Hanemann CO, Murray L, Teasdale GM. Recurrent hematomas following craniotomy for traumatic intracranial mass. J Neurosurg 1990, 72(1): 9-14.
[12] Wen L, Li QC, Wang SC, Lin Y, Li G, Gong JB, Wang F, Su L, Zhan RY, Yang XF. Contralateral haematoma secondary to decompressive craniectomy performed for severe head trauma: A descriptive study of 15 cases. Brain Inj 2013, 27(3): 286-292.
[13] Harhangi BS, Kompanje EJ, Leebeek FWG, Maas AIR. Coagulation disorders after traumatic brain injury. Acta Neurochir (Wien) 2008, 150(2): 165-175.
[14] Taylor WAS, Thomas NWM, Wellings JA, Bell BA. Timing of postoperative intracranial hematoma development and implications for the best use of neurosurgical intensive care. J Neurosurg 1995, 82(1): 48-50.
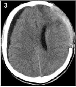
[15] Yang XF, Wen L, Li G, Zhan RY, Ma L, Liu WG. Contralateral subdural effusion secondary to decompressive craniectomy performed in patients with severe traumatic brain injury: Incidence, clinical presentations, treatment and outcome. Med Princ Pract 2009, 18(1): 16-20.
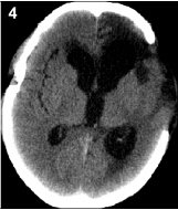
[16] Miki T, Nakajima N, Wada J, Haraoka J. Cause of posttraumatic hydrocephalus because of traumatic aqueduct obstruction in two cases. J Trauma 2006, 61(4): 985-989.
[17] Choi I, Park HK, Chang JC, Cho SJ, Choi SK, Byun BJ. Clinical factors for the development of posttraumatic hydrocephalus after decompressive craniectomy. J Korean Neurosurg Soc 2008, 43(5): 227-231.
[18] Wen L, Wan S, Zhan RY, Li G, Gong JB, Liu WG, Yang XF. Shunt implantation in a special sub-group of post-traumatic hydrocephalus--patients have normal intracranial pressure without clinical representations of hydrocephalus. Brain Inj 2009, 23(1): 61-64.
[19] Isago T, Nozaki M, Kikuchi Y, Honda T, Nakazawa H. Sinking skin flap syndrome: A case of improved cerebral blood flow after cranioplasty. Ann Plast Surg 2004, 53(3): 288-292.
[20] Wen L, Yang XF, Liu WG, Shen G, Zheng XS, Cao F, Li G. Cranioplasty of large cranial defect at an early stage after decompressive craniectomy performed for severe head trauma. J Craniofac Surg 2007, 18(3): 526-32.
[21] Wen L, Lou HY, Xu J, Wang H, Huang X, Gong JB, Xiong B, Yang XF. The impact of cranioplasty on cerebral blood perfusion in patients treated with decompressive craniectomy for severe traumatic brain injury. Brain Inj 2015, 29(13-14): 1654-1660.
No related articles found!
[1] Bangyong Keum, Yijun Liu. Analysis of 3-D Frictional Contact Mechanics Problems by a Boundary Element Method[J]. Tsinghua Science and Technology, 2005, 10(1): 16 -29 .
[2] Bangyong Keum, Yijun Liu. Analysis of 3-D Frictional Contact Mechanics Problems by a Boundary Element Method[J]. Tsinghua Science and Technology, 2005, 10(1): 16 -29 .
[3] Bangyong Keum, Yijun Liu. Analysis of 3-D Frictional Contact Mechanics Problems by a Boundary Element Method[J]. Tsinghua Science and Technology, 2005, 10(1): 16 -29 .
[4] Meng Junping,Dong Shoubin,Tang Liqun,Jiang Yi. A Hybrid Mathematical Model of Tumor-Induced Angiogenesis with Blood Perfusion[J]. Tsinghua Science and Technology, 2014, 19(6): 648 -657 .
[5] Meng Junping,Dong Shoubin,Tang Liqun,Jiang Yi. A Hybrid Mathematical Model of Tumor-Induced Angiogenesis with Blood Perfusion[J]. Tsinghua Science and Technology, 2014, 19(6): 648 -657 .
[6] Meng Junping,Dong Shoubin,Tang Liqun,Jiang Yi. A Hybrid Mathematical Model of Tumor-Induced Angiogenesis with Blood Perfusion[J]. Tsinghua Science and Technology, 2014, 19(6): 648 -657 .
[7] Jing Xi, Yuan Gao, Lijun Kong, Yandao Gong, Nanming Zhao, Xiufang Zhang. Behavior of MC3T3-E1 Osteoblast Cultured on Chitosan Modified with Polyvinylpyrrolidone[J]. Tsinghua Science and Technology, 2005, 10(4): 439 -444 .
[8] Jing Xi, Yuan Gao, Lijun Kong, Yandao Gong, Nanming Zhao, Xiufang Zhang. Behavior of MC3T3-E1 Osteoblast Cultured on Chitosan Modified with Polyvinylpyrrolidone[J]. Tsinghua Science and Technology, 2005, 10(4): 439 -444 .
[9] Jing Xi, Yuan Gao, Lijun Kong, Yandao Gong, Nanming Zhao, Xiufang Zhang. Behavior of MC3T3-E1 Osteoblast Cultured on Chitosan Modified with Polyvinylpyrrolidone[J]. Tsinghua Science and Technology, 2005, 10(4): 439 -444 .
[10] Kang Chen, Meiming Shen, Weimin Zheng. Resources Allocation Schemas for Web Information Monitoring[J]. Tsinghua Science and Technology, 2005, 10(3): 309 -315 .
Viewed
Full text


Abstract

Cited

  Shared   
  Discussed   
版权所有 © 《临床转化神经科学》编辑部


本系统由北京玛格泰克科技发展有限公司设计开发 技术支持:support@magtech.com.cn