Please wait a minute...
 首页  About Journal Qun Xue Subscription Contact us English
 
最新录用  |  当期目录  |  过刊浏览  |  热点文章  |  阅读排行  |  下载排行  |  引用排行
临床转化神经科学  2017, Vol. 3 Issue (2): 90-96    DOI: 10.18679/CN11-6030/R.2017.010
  本期目录 | 过刊浏览 | 高级检索 |
Severe remote cerebellar hemorrhage with intracerebral hemorrhage after burr-hole evacuation for chronic subdural hematoma
Hua Yu1, Song Tong2, Ahmed Abdelmaksoud1, Fu Peng1, Huang Tao1, Yizhi Huang1, Weichao Liu1, Yuan Ye1, Raya A. Almaraihah3, Nanxiang Xiong1
1 Department of Neurosurgery, Union Hospital, Tongji Medical College, Huazhong University of Science and Technology, Wuhan 430022, China;
2 Department of Thoracic Surgery, Union Hospital, Tongji Medical College, Huazhong University of Science and Technology, Wuhan 430022, China;
3 Department of International Education, Tongji Medical College, Huazhong University of Science and Technology, Wuhan 430030, China
Severe remote cerebellar hemorrhage with intracerebral hemorrhage after burr-hole evacuation for chronic subdural hematoma
Hua Yu1, Song Tong2, Ahmed Abdelmaksoud1, Fu Peng1, Huang Tao1, Yizhi Huang1, Weichao Liu1, Yuan Ye1, Raya A. Almaraihah3, Nanxiang Xiong1
1 Department of Neurosurgery, Union Hospital, Tongji Medical College, Huazhong University of Science and Technology, Wuhan 430022, China;
2 Department of Thoracic Surgery, Union Hospital, Tongji Medical College, Huazhong University of Science and Technology, Wuhan 430022, China;
3 Department of International Education, Tongji Medical College, Huazhong University of Science and Technology, Wuhan 430030, China
下载:  PDF (3335KB) 
输出:  BibTeX | EndNote (RIS)      
摘要 Since remote cerebellar hemorrhage,with intracerebral hemorrhage after supratentorial neurosurgery,is rare,its pathophysiology remains elusive.Here,we report a 64-year-old man who had severe bilateral symmetric remote cerebellar hemorrhage with frontal lobe hemorrhage following burr-hole evacuation for supratentorial chronic subdural hematoma.Computed tomography venography showed undeveloped left internal jugular vein and sigmoid sinus.He received 3 weeks of conservative treatment and fully recovered.Overdrainage of cerebrospinal fluid and head rotation with undeveloped internal jugular vein may have resulted in this complication.This case is the first case in the literature with this event sequence and has some significance for revealing the mechanism of remote cerebellar hemorrhage occurrence after other supratentorial surgeries.
服务
把本文推荐给朋友
加入引用管理器
E-mail Alert
RSS
作者相关文章
Hua Yu
Song Tong
Ahmed Abdelmaksoud
Fu Peng
Huang Tao
Yizhi Huang
Weichao Liu
Yuan Ye
Raya A. Almaraihah
Nanxiang Xiong
关键词:  subdural hematoma  burr-hole craniotomy  intracerebral hemorrhage  complication  remote cerebellar hemorrhage    
Abstract: Since remote cerebellar hemorrhage,with intracerebral hemorrhage after supratentorial neurosurgery,is rare,its pathophysiology remains elusive.Here,we report a 64-year-old man who had severe bilateral symmetric remote cerebellar hemorrhage with frontal lobe hemorrhage following burr-hole evacuation for supratentorial chronic subdural hematoma.Computed tomography venography showed undeveloped left internal jugular vein and sigmoid sinus.He received 3 weeks of conservative treatment and fully recovered.Overdrainage of cerebrospinal fluid and head rotation with undeveloped internal jugular vein may have resulted in this complication.This case is the first case in the literature with this event sequence and has some significance for revealing the mechanism of remote cerebellar hemorrhage occurrence after other supratentorial surgeries.
Key words:  subdural hematoma    burr-hole craniotomy    intracerebral hemorrhage    complication    remote cerebellar hemorrhage
收稿日期:  2017-02-02      修回日期:  2017-03-16           出版日期:  2017-06-30      发布日期:  2017-06-30      期的出版日期:  2017-06-30
通讯作者:  Nanxiang Xiong,E-mail:mozhuoxiong@163.com    E-mail:  mozhuoxiong@163.com
引用本文:    
Hua Yu, Song Tong, Ahmed Abdelmaksoud, Fu Peng, Huang Tao, Yizhi Huang, Weichao Liu, Yuan Ye, Raya A. Almaraihah, Nanxiang Xiong. Severe remote cerebellar hemorrhage with intracerebral hemorrhage after burr-hole evacuation for chronic subdural hematoma[J]. 临床转化神经科学, 2017, 3(2): 90-96.
Hua Yu, Song Tong, Ahmed Abdelmaksoud, Fu Peng, Huang Tao, Yizhi Huang, Weichao Liu, Yuan Ye, Raya A. Almaraihah, Nanxiang Xiong. Severe remote cerebellar hemorrhage with intracerebral hemorrhage after burr-hole evacuation for chronic subdural hematoma. Translational Neuroscience and Clinics, 2017, 3(2): 90-96.
链接本文:  
http://tnc.tsinghuajournals.com/CN/10.18679/CN11-6030/R.2017.010  或          http://tnc.tsinghuajournals.com/CN/Y2017/V3/I2/90
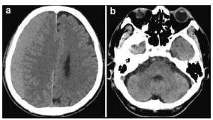
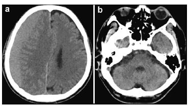
20170712151100  Figure 1 Preoperative computed tomography images of the brain show a right side subdural hematoma without abnormal findings in the posterior fossa and right side frontal lobe.
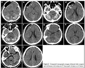
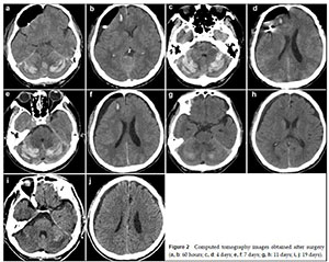
20170712151136  Figure 2 Computed tomography images obtained after surgery (a, b: 60 hours; c, d: 4 days; e, f: 7 days; g, h: 11 days; i, j: 19 days).
20170712151148  Figure 3 Preoperative computed tomography angiography (CTA; a, b) and computed tomography venography (CTV; c, d) of the brain of the patient.
20170712151155  Table 1 Patient characteristics with cerebellar hemorrhage after burr-hole evacuation of chronic subdural hematoma.
[1] Brisman MH, Bederson JB, Sen CN, Germano IM, Moore F, Post KD. Intracerebral hemorrhage occurring remote from the craniotomy site. Neurosurgery 1996, 39(6):1114-1121.
[2] Honegger J, Zentner J, Spreer J, Carmona H, SchulzeBonhage A. Cerebellar hemorrhage arising prospectively as a complication of supratentorial surgery:A retrospective study. J Neurosurg 2002, 96(2):248-254.
[3] Mori K, Maeda M. Surgical treatment of chronic subdural hematoma in 500 consecutive cases:Clinical characteristics, surgical outcome, complications, and recurrence rate. Neurol Med Chir (Tokyo) 2001, 41(8):371-381.
[4] Kalfas IH, Little JR. Postoperative hemorrhage:A survey of 4992 intracranial procedures. Neurosurgery 1988, 23(3):343-347.
[5] Hyam JA, Turner J, Peterson D. Cerebellar haemorrhage after repeated burr hole evacuation for chronic subdural haematoma. J Clin Neurosci 2007, 14(1):83-86.
[6] Vogels RLC, Verstegen MJT, van Furth WR. Cerebellar haemorrhage after non-traumatic evacuation of supratentorial chronic subdural haematoma:Report of two cases. Acta Neurochir (Wien) 2006, 148(9):993-996.
[7] Chang SH, Yang SH, Son BC, Lee SW. Cerebellar hemorrhage after burr hole drainage of supratentorial chronic subdural hematoma. J Korean Neurosurg Soc 2009, 46(6):592-595.
[8] Kobayashi S, Mutoh T, Ishikawa T, Moroi J, Tamagawa N, Yoshioka S, Hikichi K, Suzuki A. Remote cerebellar hemorrhage after single burr hole drainage of chronic subdural hematoma of the elderly. No Shinkei Geka 2011, 39(8):755-761.
[9] Yasargil MG, Yonekawa Y. Results of microsurgical extraintracranial arterial bypass in the treatment of cerebral ischemia. Neurosurgery 1977, 1(1):22-24.
[10] Park JS, Hwang JH, Park J, Hamm IS, Park YM. Remote cerebellar hemorrhage complicated after supratentorial surgery:Retrospective study with review of articles. J Korean Neurosurg Soc 2009, 46(2):136-143.
[11] Toczek MT, Morrell MJ, Silverberg GA, Lowe GM. Cerebellar hemorrhage complicating temporal lobectomy. Report of four cases. J Neurosurg 1996, 85(4):718-722.
[12] Seoane E, Rhoton AL Jr. Compression of the internal jugular vein by the transverse process of the atlas as the cause of cerebellar hemorrhage after supratentorial craniotomy. Surg Neurol 1999, 51(5):500-505.
[13] Cohen ZR, Ram Z, Knoller N, Peles E, Hadani M. Management and outcome of non-traumatic cerebellar haemorrhage. Cerebrovasc Dis 2002, 14(3-4):207-213.
[1] Zongyu Xiao, Xiaojuan Chen, Kunzheng Li, Zhengping Zhang. Calcified chronic subdural hematoma: A case report and literature review[J]. 临床转化神经科学, 2017, 3(4): 220-223.
[2] Xiaofeng Yang, Liang Wen. Surgical complications secondary to decompressive craniectomy for patients with severe head trauma[J]. 临床转化神经科学, 2016, 2(1): 59-64.
[1] Bangyong Keum, Yijun Liu. Analysis of 3-D Frictional Contact Mechanics Problems by a Boundary Element Method[J]. Tsinghua Science and Technology, 2005, 10(1): 16 -29 .
[2] Bangyong Keum, Yijun Liu. Analysis of 3-D Frictional Contact Mechanics Problems by a Boundary Element Method[J]. Tsinghua Science and Technology, 2005, 10(1): 16 -29 .
[3] Bangyong Keum, Yijun Liu. Analysis of 3-D Frictional Contact Mechanics Problems by a Boundary Element Method[J]. Tsinghua Science and Technology, 2005, 10(1): 16 -29 .
[4] Meng Junping,Dong Shoubin,Tang Liqun,Jiang Yi. A Hybrid Mathematical Model of Tumor-Induced Angiogenesis with Blood Perfusion[J]. Tsinghua Science and Technology, 2014, 19(6): 648 -657 .
[5] Meng Junping,Dong Shoubin,Tang Liqun,Jiang Yi. A Hybrid Mathematical Model of Tumor-Induced Angiogenesis with Blood Perfusion[J]. Tsinghua Science and Technology, 2014, 19(6): 648 -657 .
[6] Meng Junping,Dong Shoubin,Tang Liqun,Jiang Yi. A Hybrid Mathematical Model of Tumor-Induced Angiogenesis with Blood Perfusion[J]. Tsinghua Science and Technology, 2014, 19(6): 648 -657 .
[7] Jing Xi, Yuan Gao, Lijun Kong, Yandao Gong, Nanming Zhao, Xiufang Zhang. Behavior of MC3T3-E1 Osteoblast Cultured on Chitosan Modified with Polyvinylpyrrolidone[J]. Tsinghua Science and Technology, 2005, 10(4): 439 -444 .
[8] Jing Xi, Yuan Gao, Lijun Kong, Yandao Gong, Nanming Zhao, Xiufang Zhang. Behavior of MC3T3-E1 Osteoblast Cultured on Chitosan Modified with Polyvinylpyrrolidone[J]. Tsinghua Science and Technology, 2005, 10(4): 439 -444 .
[9] Jing Xi, Yuan Gao, Lijun Kong, Yandao Gong, Nanming Zhao, Xiufang Zhang. Behavior of MC3T3-E1 Osteoblast Cultured on Chitosan Modified with Polyvinylpyrrolidone[J]. Tsinghua Science and Technology, 2005, 10(4): 439 -444 .
[10] Kang Chen, Meiming Shen, Weimin Zheng. Resources Allocation Schemas for Web Information Monitoring[J]. Tsinghua Science and Technology, 2005, 10(3): 309 -315 .
Viewed
Full text


Abstract

Cited

  Shared   
  Discussed   
版权所有 © 《临床转化神经科学》编辑部


本系统由北京玛格泰克科技发展有限公司设计开发 技术支持:support@magtech.com.cn